Oral Squamous Cell Carcinoma in a Budyonny horse: A case report

Document Type : Case report

Authors

1 Department of Surgery and Radiology, Faculty of Veterinary Medicine, University of Tehran, Tehran, Iran.

2 Department of Pathobiology, Faculty of Veterinary Medicine, Islamic Azad University, Karaj Branch, Karaj, Iran

3 Student of Veterinary Medicine, Faculty of Veterinary Medicine, University of Tehran, Tehran, Iran.

Abstract

Squamous cell carcinoma (SCC) is a cancerous growth originating from the stratified squamous epithelium and is the most frequently diagnosed oral tumor in horses. This case report describes the clinical, imaging, and histopathological characteristics of gingival SCC in a 23-year-old Budyonny gelding with a history of multiple unsuccessful treatments, including a prior tumor excision attempt. The horse presented with a large, space-occupying soft tissue mass associated with excessive drooling, and lateral tongue protrusion. Laboratory findings were consistent with cancer-related anemia, while diagnostic imaging demonstrated extensive mandibular bone lysis consistent with the tumor’s aggressive nature. Histopathology confirmed grade III gingival SCC, characterized by keratin pearl formation and a high mitotic index. Due to the poor prognosis, high treatment costs, and advanced stage of disease, the owner declined further therapeutic intervention. The horse succumbed to the disease and died 6 months after presentation. This case emphasizes the challenges of managing advanced gingival SCC in equines and underscores the importance of early detection and timely intervention. 

Keywords

Main Subjects


Abbreviations

SCC: squamous cell carcinoma

OSCC: oral squamous cell carcinoma

EDTA: Ethylenediaminetetraacetic Acid

WBC: White Blood Cell

HCT: Hematocrit

H&E staining: haematoxylin and eosin staining

Introduction

Squamous cell carcinoma (SCC), characterized by the abnormal and rapid proliferation of stratified squamous epithelial cells [1] , is the second most common tumor and the most frequently reported primary oral neoplasm in horses [2] . Although SCC generally exhibits a slow growth pattern, some cases may sometimes exhibit a more rapid clinical course [1] . Initially, these tumors exhibit a proliferative tendency but often evolve into highly destructive form, marked by ulceration and extensive infiltration of surrounding tissues [1 , 3] . Oral squamous cell carcinoma (OSCC) is a malignant neoplasm originating from the oral keratinocytes within the stratified squamous epithelium, predominantly impacting the oral mucosa. The present report describes the clinical presentation, histopathological characteristics, and imaging features of an invasive grade III OSCC in a 23-year-old Budyonny gelding, emphasizing the diagnostic difficulties and therapeutic limitations associated with this condition.

Case Presentation

A 23-year-old Budyonny gelding was brought to the Veterinary Teaching Hospital at the University of Tehran with a large, space-occupying soft tissue mass in the rostral mandible, which prevented complete oral examination. According to the owner, the mass developed after the extraction of a loose left lower canine tooth several months prior. The owner reported rapid and aggressive growth of the mass, accompanied by a persistent fetid odour, despite previous surgical and medical attempts at treatments. Initial treatments included cleaning the extraction site with salt, disinfecting with chlorhexidine and diluted betadine solution, and administration of co-trimoxazole. However, the mass proved resistant to all therapeutic interventions.

Results and Discussion

Clinical findings

On general clinical examination, vital parameters were within normal limits: rectal temperature 37.6°C, heart rate 35 beats/min, and respiratory rate 12 breaths/min. The horse was able to defecate and urinate without difficulty. Upon close inspection, a tumor was identified on the dental alveolus of the right mandible, accompanied by a large fistula connecting the oral cavity to the cutaneous aspect of the intermandibular space. Suppurative discharge was observed at the defect site, resulting in excessive drooling and lateral protrusion of the tongue Figure 1.A,B. Despite the oral pathology, the horse maintained good body condition, without significant weight loss or reduction in appetite.

Figure 1. Gross and radiographic images, (A) A prominent mass at the site of the labial gingiva in the oral cavity. (B) A discharging sinus tract with purulent material and pus underneath. (C) Lateral radiograph of the rostral aspect of the mandible, demonstrating severe osteolysis associated with squamous cell carcinoma.

Laboratory findings

Blood samples were obtained from the jugular vein using vacuum tubes containing 10% EDTA for the assessment of complete blood count and plasma protein concentrations. The results of the blood sample were as follows: Haemoglobin 8.6g/dL, Red blood cells 5.2× 106/μL, HCT 27%, WBC 12800 /μL, Band neutrophils 640/μL, segmented neutrophils 10800 /μL, lymphocyte 1280/μL, monocyte 128/μL, and Fibrinogen 0.4g/dL. The haematological profile indicated normocytic normochromic anaemia, likely cancer-related. Additionally, a relatively elevated band neutrophil count with a degenerative left shift was observed, suggesting a systemic inflammatory response [4] .

Diagnostic imaging findings

Lateral and dorsoventral views of the mandible demonstrated severe mandibular bone lysis between the incisor and premolar check teeth, along with significant bone proliferation within the adjacent soft tissue mass (Figure 1.C). These radiographic findings were highly suggestive of a neoplastic process.

Histopathological findings

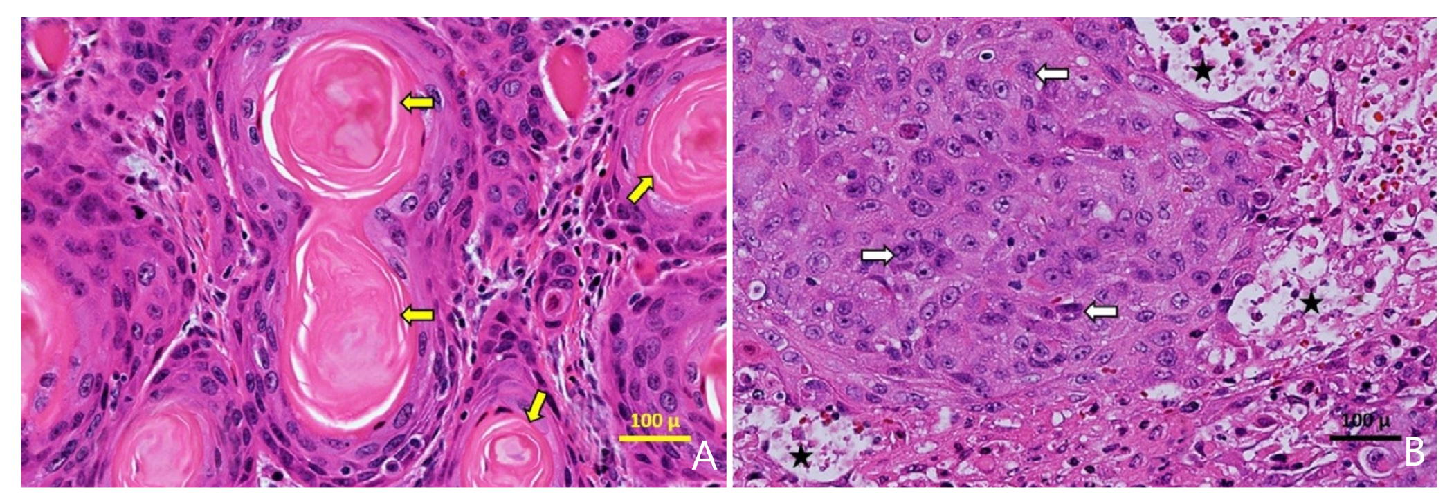
A preliminary mass biopsy was performed with the horse standing under sedation (xylazine 2%,0.5mg/kg) and local analgesia (lidocaine 2%). The tissue samples were subsequently preserved in 10% neutral buffered formalin, processed accordingly, embedded in paraffin, sectioned to a thickness of 5μm, and stained with H&E. Slides were examined under a light microscope. (Olympus, CX33). Histopathological analysis of the specimens confirmed a diagnosis of grade III OSCC, characterized by tumor development originating from peripheral basal-like cells. This progression occurred through the layers of the stratified squamous epithelium, ultimately resulting in the formation of a central keratin pearl due to keratinization. Figure 2.A. Areas of viable tumor cells transitioned to zones of necrosis, characterized by a loss of structural integrity and replacement with eosinophilic proteinaceous material and cellular debris (Figure 2.B). Additionally, small blood vessels were observed near the tumor nests, often with inflammatory cells marginating along the endothelial surfaces. The tumor cells displayed significant nuclear polymorphism, indicating a moderately to highly abundant number of mitotic cells, with the mitotic count ranging from 5 to 9 per high-power field. Furthermore, evidence of lymphovascular invasion was also observed, as tumor cells were identified within endothelial-lined spaces (lymphatics or blood vessels).

Figure 2. Histopathological images, (A)clusters of well differentiated malignant squamous epithelial cells showing progression from peripheral basal like cells through stratified squamous epithelium with keratinization forming a central keratin pearl (yellow arrow) - H&E stain, 40X objective. (B) Tumour cells (white arrow) with mitotic figures and pleomorphism, areas of necrosis (*) characterized by loss of structure and replacement with eosinophilic (pink) proteinaceous material and cellular debris - H&E stain, 40X objective.

Outcome

Given the horse's condition, a rostral hemimandibulectomy was recommended as the treatment of choice. However, owner declined surgical intervention due to the poor prognosis, high financial costs, and emotional considerations. Follow-up revealed that the horse succumbed to the disease and died six months after presentation.

This study describes the clinical, laboratory, and histopathological features of an invasive case of OSCC in a 23-years-oldBudyonny horse, highlighting the challenges of managing and treating oral cavity neoplasia in equines.

SCC is a malignant tumor that originates from epithelial cells derived from either ectodermal or endodermal tissues [5] . OSCC has been documented in a variety of specious, including horses, cattle, sheep, goats, rats, hamsters, rabbits, ferrets, hedgehogs, and numerous other laboratory, domestic and wild animals [6] . In dogs, SCC ranks among the three most prevalent oral cancers, while in cats it is the most common [7] . In horses, SCC frequently arises in the genitalia, ocular and periocular tissues, and stomach. Less frequently, it appears in the oesophagus, skin, hard palate, arytenoid cartilage, guttural pouch, maxillary sinus, perineal tissues, peritoneal cavity, maxilla, lymph nodes, nasal cavity and mucosal surfaces such as gingiva, tongue, larynx, pharynx, and palate [3 , 8 , 9] . Although OSCC is the most prevalent primary oral neoplasm in horses, it remains relatively uncommon condition for only about 7% of all equine SCC cases [2 , 10] .Nonpigmented skin regions, especially those with high exposure to light, exhibit a greater vulnerability to the development of OSCC. Mucocutaneous junctions are particularly vulnerable, even outside the oral cavity [11] . Age is also a factor and older horses have a higher susceptibility to OSCC. The horse in this case was 23 years old, placing it within a high-risk group. The exact pathogenesis of OSCC in horses remains unclear [1] .

The simultaneous presence of long-standing infection or granulation tissue proliferation can complicate the accurate diagnosis of mandibular tumors [12] . Differential diagnoses for equines OSCC, include equine sarcoid, papilloma, mast cell tumor, exuberant granulation tissue, habronemiasis, phycomycosis, cutaneous lymphoma, melanoma, ossifying fibroma, hemangiosarcoma, myxomatous tumors, salivary adenocarcinoma, and basal cell carcinoma [11 , 12 , 14 , 15].

Radiography is useful for evaluating the tumor extent; though radiographic appearance can vary widely. In our study, severe mandibular bone lysis and irregular periosteal reactions suggested neoplasia. Other potential differential diagnoses for these radiographic findings include apical sepsis, osteomyelitis, and trauma [5] . Computed tomography can be helpful in differentiating various forms of SCC from other skull pathologies. Unfortunately, we were unable to perform computed tomography on our case, as the horse passed away at a considerably distant location from our facility.

Histopathological grading of SCC is based on the degree of cellular anaplasia in samples collected via biopsy or surgical excision. Well-differentiated SCC (grade I) exhibits minimal atypia in basal or parabasal cells, while poorly differentiated SCC (grade III) shows little to no architectural or cellular resemblance to normal tissue. Grade II tumors have features between the criteria for grade I and grade III [7] . In the case, the gelding presented with a large, destructive mandibular mass accompanied by infection, granulomatous tissue, and a purulent sinus tract.

Definitive diagnosis requires biopsy specimens from both the neoplastic tissue and the marginal zone, which are then prepared for histopathological examination. In the present case, histopathology confirmed grade III OSCC. It is advisable to perform fine needle aspiration (FNA) or biopsy of regional lymph nodes to assess the possibility of metastasis. However, mandibular lymphadenopathy in horses with oral neoplasia, often results by reactive inflammation rather than metastatic disease; thus, the results of lymph node biopsy or FNA are not always conclusive for metastases [1 , 11]. A retrospective study of 114 equine penile and preputial neoplasms reported metastasis most frequently in grade III tumors [13] . In our case, the owner declined any further diagnostic, so lymph node metastasis could not be assessed .

Treatment success depends on many factors but mostly related to mass including type, size and accessibility [8] . Multiple strategies have been suggested for the treatment of SCC, encompassing surgical intervention, cryotherapy, hyperthermia, radiotherapy, chemotherapy, and photodynamic therapy. The success of these treatment options varies by tumour aggressiveness, accessibility, and chronicity [11] . Tumors in the rostral oral cavity are often easier to treat since they are typically detected early and can be excised surgically or accessed for intralesional chemotherapy and radiotherapy. Although surgical excision has been shown effective in treating OSCC, achieving complete removal is often challenging, particularly in difficult-to-access locations, where complete excision may be impossible, leading to high consequently, recurrence rates [1 , 10]. In this case, the lesion's extensive nature, coupled with a secondary infection, significantly worsened the prognosis. The owner declined treatment owing to the associated risks and elected to keep the horse comfortable without active treatment, despite medical recommendations for pain management and surgical intervention. OSCC typically presents a challenging prognosis for resolution, particularly when metastasis to regional lymph nodes occurs, which significantly deteriorates the overall outlook and may impact the decision-making process regarding the commencement of treatment and even may affect the decision to commence treatment . These tumours extensively infiltrate surrounding tissues, including bone, and may metastasize to local lymph nodes and the lungs, compounding the unfavourable prognosis for effective treatments.

Authors' Contributions

S.G and O.A performed clinical examination and conceived and planned the experiments. O.A and S.M performed review literature and manuscript writing. F.M and A.R performed paraclinical examinations.

Acknowledgements

We thank the staff of the Veterinary Hospital of the University of Tehran.

Conflict of interest

The authors declare that there is no conflict of interest.

References

  1. Knottenbelt DC, et al. Clinical equine oncology. 1st ed. Elsevier Health Sciences; 2015. 437-440.DOI
  2. Sundberg JP, Burnstein T, Page EH, Kirkham WW, Robinson FR. Neoplasms of Equidae. J Am Vet Med Assoc. 1977;170:150-2. Available from: https://europepmc.org/article/med/576219
  3. Schuh JCL. Squamous cell carcinoma of the oral, pharyngeal, and nasal mucosa in the horse. Vet Pathol. 1986;23:205-7.DOI
  4. Lambert JL, Fernandez NJ, Roy M-F. Association of presence of band cells and toxic neutrophils with systemic inflammatory response syndrome and outcome in horses with acute disease. J Vet Intern Med. 2016;30:1284–92.DOI
  5. Loftin P, Fowlkes N, McCauley C. Mandibular squamous cell carcinoma in a 5-year-old Tennessee Walking Horse. Equine Vet Educ. 2015;27(1):4-8.DOI
  6. Gardner DG. Spontaneous squamous cell carcinomas of the oral region in domestic animals: A review and consideration of their relevance to human research. Oral Dis. 1996;2:146-54.DOI
  7. Van den Top JGB, Ensink JM, Barneveld A, van Weeren PR. Penile and preputial squamous cell carcinoma in the horse and proposal of a classification system. Vet Surg. 2011;23(12):636-48.DOI
  8. Auer JA, Stick JA, Kümmerle JM, Prange T. Equine surgery. 5th ed. Elsevier Health Sciences; 2018. 466.DOI
  9. Moore AS, Beam SL, Rassnick KM, Provost P. Long-term control of mucocutaneous squamous cell carcinoma and metastases in a horse using piroxicam: Case reports. Equine Vet J. 2003;35(7):715-8.DOI
  10. Orsini JA, Nunamaker DM, Jones CJ, Acland HM. Excision of oral squamous cell carcinoma in a horse. Vet Surg. 1991;20:264-6. Doi: 10.1111/j.1532-950x.1991.tb01259.x.
  11. Taylor S, Haldorson G. A review of equine mucocutaneous squamous cell carcinoma. Equine Vet Educ. 2013;25(7):374-8.DOI
  12. Monteiro S, Lemberger K, Gangl M. Mandibular squamous cell carcinoma in a young horse: Case report. Equine Vet Educ. 2009;21(8):406-10.DOI
  13. Van den Top JGB, De Heer N, Klein WR, Ensink JM. Penile and preputialtumours in the horse: A retrospective study of 114 affected horses. Equine Vet J. 2008;40:528-32.DOI
  14. Luff J, Weingart S, May S, Murphy B. A subset of equine oral squamous cell carcinomas are associated with Equuscaballus papillomavirus 2 infection. J Comp Pathol. 2023;205:1–6.DOI
  15. Junge RE, Sundberg JP, Lancaster WD. Papillomas and squamous cell carcinomas of horses. J Am Vet Med Assoc. 1984;185:656-9.DOI
  16. McGeachy TLEP, Jackson LAR. Veterinary oral and maxillofacial pathology. n.d. 137.DOI
CAPTCHA Image