Changes in the Uropygial (preen) gland in Fulani ecotype chicken (gallus gallus domestica) a post-hatch study

Document Type : Research Articles

Authors

1 Department of Veterinary Anatomy, Faculty of Veterinary Medicine, University of Ilorin, Nigeria.

2 Department of Veterinary Medicine, Faculty of Veterinary Medicine, University of Ilorin, Nigeria.

3 Department of Veterinary Anatomy, Faculty of Veterinary Medicine, Bayero University, Kano, Nigeria.

Abstract

The Uropygial (Preen) gland, located dorsocranially to the pygostyle and rectrices in birds, is a bi-lobed structure responsible for secreting oil for plumage maintenance. This study investigated the morphological and histological features during post-natal development in the Fulani Ecotype chicken (Gallus gallus domestica) with the aim of documenting anatomical information that will be useful for further biomedical and embryological studies. A total of 56 Fulani Ecotype chickens were sampled, and studied across four developmental phases, with each phase comprising 7 males and 7 females. For each bird, live body weight, uropygial gland weights and preen oil weights were documented. Morphometric characteristics of the excised gland were documented before extraction  and measuring the preen oil. Additionally, uropygial glands from selected birds per phase were excised, and fixed in 10% buffered formalin solution for gross and histological analysis. The gland appeared as early as week 2–3 post-hatch, presenting two pear shaped lobes and a short papilla. Three layers of the secretory cells were recognised at 7-8 months post hatch. The results confirm that uropygial gland of the Fulani ecotype chicken develops early, at week 2-3 post hatch, and that its weight increases with the body weight, reaching full histological development between 7-8 months post hatch.    

Keywords

Main Subjects


Abbreviations

Not used.

Introduction

The Nigerian indigenous chicken is one of the major sources of dietary protein to the Nigerian people. With an estimated population of 180 million birds, Nigeria hosts the second largest chicken population in Africa, following South Africa [1] .

Indigenous Nigerian chickens are classified into two main ecotypes based on their geographical distribution: the Fulani Ecotype and the Forest savannah (Yoruba) Ecotypes [3] . The Fulani Ecotypes often regarded as the "heavy ecotypes", is found in the Sahel, guinea savannah parts of Nigeria, cattle Kraals, and Montane regions of the north [4] . Adaptation to environmental conditions, such as rainfall and humidity, is critical for these birds. One adaptive mechanism involves the secretion of oil from the uropygial (preen) gland to waterproof and maintain their feathers [5] .

The Uropygial gland is a well-recognized feature of most bird species [6]. Structurally, it is bi-lobed and encapsulated by irregular connective tissue composed of collagen, elastic and reticular fibres [7] . Its secretory tubules comprise four cell layers: a germinative layer (basal), an intermediate layer, a secretory layer and a degenerative layer [8].

The Oleaginous secretion of the preen gland is a combination of extruded cells, ester waxes, fatty acids, fat and secretory granules [9]. Its chemical composition varies both within and across bird species [10] . Beyond maintenance of feather integrity, the gland is also of current interest because it provides source of chemicals used for communication in birds. While its anatomy has been investigated in species such as Kiwi [6] , ducks [11] and gulls [12], limited information exists on post-natal developmental changes, particularly in indigenous breeds like the Fulani Ecotype. This study aims to examine the gross morphological and histological development of the uropygial gland in Fulani ecotype chickens to address existing gaps in the literature regarding avian gland development.

Results

Gross morphology

The Preen gland of the Fulani ecotype chicken was located at the base of the tail, situated between the fourth caudal vertebra and the pygostyle (Fig. 1). It was made up of two pear shaped lobes and a short, nipple like papilla. Each papilla was surrounded by 5-7 tufts of fine downy circlet feathers (Fig. 2), depicting a type 2 circlet arrangement, as classified by13. The gland was observed as early as week 2 - 3 of age and continued to develop and function throughout the growth of the bird.

Figure 1. Photographs showing in situ position of the Preen gland (arrow) of the Fulani ecotype chicken as seen at the base of the tail (Week 2-3).

Figure 2. Photograph of the excised preen gland of the Fulani ecotype chicken with circlet feathers (arrow heads) (Week 2-3).

Morphometry

The means weight and standard deviations of the preen glands and preen oils (measured in grams) across genders and growth phases were compared to the live body weights of the birds and the significant differences across groups were obtained. The weights showed significant differences across the age groups (p < 0.001) (Table 1). Age gender related difference in the live body weight, preen glands weight and preen oils quantity were evident starting from the chick stage (Table 2).

Parameters (Mean ± S.D) Sex Postnatal Growth Phases (n = 6 per growth phase)
2-3 weeks 2-3 months 7-8 months 18-24 months
Bird Live Weight (g) Male 33.94±3.09 427.00±63.00 b 969.67±111.70 c 1090.67±417.21 c
Female 32.35±0.87 229.67±37.82 a 931.33±79.86 c 1279.67±174.08 c
Preen gland Weight (g) Male 0.10±0.01 0.40±0.08 b 0.74±0.18 c 0.86±0.25 c
Female 0.04±0.01 0.45±0.02 c 0.77±0.02 c 0.90±0.07 c
Oil weight (g) Male 0.01±0.01 0.05±0.02 0.15±0.03 c 0.43±0.07 c
Female 0.02±0.01 0.07±0.03 b 0.09±0.07 c 0.12±0.07 c
a = significant (p < 0.05, b = very significant (p < 0.005), c = extremely significant (p < 0.001).
Table 1.Mean ± Standard Deviation of the Weights of Preen Oil, Preen Gland and Live Birds.
Features 2-3 weeks 2-3 months 7-8 months 18–24 Months
Male vs female live weights Male ns ns c a
Male vs female preen gland weights Female ns b c b
Male vs female preen oils weights Male ns ns c ns
Weight of gland vs Weight of oil Female ns b c b
ns ns b ns
Relative weight of pineal gland Male c c c c
c c c c
Relative weight of pineal oil Female c c c c
c c c c
ns = not significant at p = > 0.05; a = significant (p < 0.05, b = very significant (p < 0.005), c = extremely significant (p < 0.001), Vs= Versus
Table 2.Comparisons of the Mean ± Standard Deviation of the Weights of Preen Oil, Preen Gland and Live Birds

A marked statistically significant difference existed between the weights of the preen gland and preen oil in both male and female birds (Table 3). However, there was no significant difference between the gland weights of male and females. Notably, at 18–24 months of age, the weight of the preen oil in males was significantly higher than in females (Table 3).

From age 2-3 months onward, the weights of both the preen gland and its oil increased in weight in both sexes. This growth is likely associated with rising metabolic and hormonal demands, as well as the necessity of maintaining feather hygiene. (Table 3).

Pearson's correlation coefficients (r)
Correlated parameters Male (n=3) Female (n=3) Both sexes (n=6)
Mean live weights vs mean gland weights 0.9994*** 0.9460n 0.9833*
Mean live weights vs mean oil weights 0.8395n 0.2468n 0.8918n
*= Significant correlation (P < 0.05) *** = Highly significant correlation (P < 0.001) n = Non significant correlation, vs= Versus.
Table 3.Relationship between the mean live weight, mean gland weight and mean oil weight of Fulani ecotype chicken during four post-natal growth phases.

Histology

In the early developmental phase (weeks 2–3), the secretory tubules of the Fulani ecotype chicken's preen gland showed minimal secretions in their lumens, and the parenchyma was not fully developed. Cellular stratification was poorly outlined due to widely spread parenchyma tissue. Nonetheless, distinct cellular aggregations or granules, ranging from spherical and oval to ecliptic shapes, were observed throughout the developing preen gland (Fig. 3).

Figure 3. Micrograph of the Preen gland in a 2–3-week-old chicken. A: Depicts thick connective tissue septae (S) demarcating poorly lumenized developing secretory tubules (T). H&E × 40. B: Depicts poorly arranged glandular cells. H&E × 400.

At 2–3 months, secretory tubules were separated by thick connective tissue septae. The structure was non-classical luminization, and lacked capsule, with few blood vessels and haphazard cellular arrangement (Fig. 4). Subsequent developmental stages were characterized by developed states of the preen gland. The organization, size and the overall parenchyma of the secretory tubules were improved, leading to improvement in preen oil secretion levels. Black spotted bodies were replaced by secretory cells, forming tripartite cellular strata (Fig. 4).

Figure 4. Micrograph of the Preen gland in a 2-3 month old chicken depicting thin connective tissue septae (S) demarcation of secretory tubules and clearer tubular lumen (L). The cells (C) of the tubules were better arranged. H&E × 100.

The parenchyma continued to develop at the second developmental phase (4-6 months). At this stage, the secretory tubules were separated by thinner connective tissue septae and exhibited clearly defined lumenes The arrangement of the secretory tubule cells improved significantly (Fig. 5).

Figure 5. Micrograph of the Preen gland in a 4-6 month old chicken depicting the dense irregular and elastic connective tissue (CT) and smooth muscle (SM) fibres that make its thick capsule. The capsule is vascularized (V) and septae (S) into the glandular parenchyma to separate the secretory tubules (T). H&E, × 40.

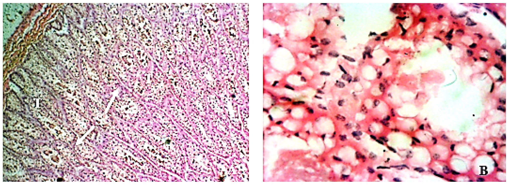
By 6-9 months, secretory tubule cells were organized into three distinct layers: basal layer of cuboidal cells adjacent to the basement membrane, an intermediate layer of polyhedral cells, and a secretory layer that had more secretory vacuoles, adjacent to the tubular lumen. As the cells neared the tubular lumen, their cytoplasm vacuolization and size increased, due to their increasing secretory content (Fig. 6).

Figure 6. Micrograph of a fully developed Preen gland in a 6- 9 month old chicken depicting layers of i) basal cells (B), ii) intermediate cells (I) and iii) secretory cell (S) of a secretory tubule. The basal cells (cuboid shaped) are next to the basement membrane (BM), H&E × 400.

At 18 – 24 months post hatch, the gland showed numerous simple, branched tubular secretory units that terminated blindly near the capsule. The entire gland was enclosed in a thick capsule composed of dense irregular, elastic, adipose and smooth muscle tissues. The capsule divided the gland into two separate lobes, was vascularized and innervated, and extended septae into the substance of the parenchyma of each lobe. These septae demarcated secretory tubules, and established a linkage of drainage channels to a central canal, which ultimately opened to the exterior through the papilla (Fig. 7).

Figure 7. Micrograph of a fully developed Preen gland in a 6-9 month old chicken depicting layers of i) basal cells (B), ii) intermediate cells (I) and iii) secretory cell (S) of a secretory tubule. The basal cells (cuboid shaped) are next to the basement membrane (BM), H&E × 400.

Figure 8. Micrographs of the parenchyma of the Preen gland in an 18-24-month old chicken. Depicting connective tissue septae (S) demarcating its secretory tubules (T) and linking drainage tributaries (Arrow) to the central canal (CC) H&E X 40.

Discussion

In this study, the uropygial gland of the Fulani ecotype chicken was located between the fourth caudal vertebra and the pygostyle, dorsally positioned above the levator caudalis muscle at the base of the tail. This anatomical positioning aligns with report on uropygial Glands of most birds [14] , which describe the gland as being dorsally and medially located within the synsacocaudal region and visible to the naked eye. The Uropygial gland of Fulani ecotype chickens exhibited a bi-lobed, conical flask-like structure, each lobe featuring a single opening, along with short nipple-like Uropygial papilla situated dorsocaudally to the gland. Preen glands have been observed in a variety of configurations, for instance a heart-shaped preen gland with a broad bean-sized base was documented in Ankra putra chickens [15]. However, according to [16] the duck's uropygial gland has different development pattern, suggesting that gland size may not serve as a significant determinant in this species.

The uropygial gland plays a crucial role for preserving feather hygiene and integrity, regardless of feathers shape [18] , preening, and dust bathing [19]. These could be one of the main reasons for the uropygial gland's growth at week 2-3, which coincides with the formation of feathers.

According to [20], in chicken, the uropygial papilla is long and thin; in turkey, it is broad and short; in geese, it has two openings; and in musk ducks, it is absent altogether [21]. Additional reports describe the papilla as being slightly above the tail and nipple shape [14]. A connective tissue separates clearly separates the papilla from the gland lobes [22].

At week 2-3 of age, each papilla is surrounded by 5-7 tufts of fine downy circlet feathers, forming a type 2 circlet arrangement accordance with the classification by Johnston 1988. This arrangement supports previous findings [21 , 14]. According to [21] , the circlets help smear the oily secretion onto the bill.

The live bird weights and their preen gland weights continuously grow, with the exception of the female's preen oil. This is consistent with other observations, like those of [22] on wild rock pigeons (Columbia livia) and [23] on the helmeted guinea fowls, where males generally exhibit higher weights than females of the same species.

Due to its holocrine form, along with its close relationship between the histology of fowl and guinea fowl, the uropygial gland of the Fulani ecotype chicken corresponds with the mammalian sebaceous gland [24]. The preen gland is surrounded by an irregular connective tissue capsule made up of adipocytes and smooth muscles in domestic ducks [25] , although this smooth muscle component is reportedly absent in kiwis [26]. Smooth muscle is necessary for contraction, which leads to the opening of primary ducts and the ejection of secretion from the gland; however, there are other supportive systems in existence to compress secretions, therefore the lack of this smooth does not imply a lack of secretion [27].

In this study in order to develop and link its drainage channels to a central canal, which is then drained to the exterior by the papilla, the capsules were vascularized and sent septae into the substance of the parenchyma of each lobe, demarcating secretory tubules. According to [28], the gland is made up of a lot of simple branched tubular secretory units ending blindly close to the capsule. Its holocrine nature is demonstrated by cellular fragmentation in the transitional layers of secretary tubules, as seen in guinea fowls [29] .

At 2-3 weeks post hatch, interfollicular septae were poorly visible. This demonstrates that interfollicular septae develops lobules of follicular cells as the chicken grows. The thickness of the interfollicular septae varies between species. The interfollicular septae are narrow in Indian peafowl and thicker in water rails [30] .

The glandular zones present in the secretory tubules were separated into a peripherally greater outer zone near the tubular wall, bordered with stratified epithelium, and proportionally a lesser interior zone of larger cells adjacent to the lumen.

Between the formal layer and the bottom layer, which is made up of the tiniest cells that border the basement membrane, is an intermediate zone of relatively smaller cells. This finding is consistent with a prior work by (31) . In this study, the basal layer cells had a low cuboidal shape. They make up the top two layers of the secretory tubules' glandular cells. The cytoplasm of the cells in this layer is highly basophilic and darker than the cytoplasm of other guinea fowl cells, and the nuclei of these cells are spherical and darkly pigmented [7] . The Gallus domestica lack this exhibition.

Conclusion

This study concluded that there is a relationship existing between age of the Fulani ecotype chicken to the weight of the gland and sex. From micromorphological perspectives, the preen gland at week 2- 3 was undeveloped lacking a well-formed capsules, septae and cellular layers. These structures began to fully form from 6-9 months post Hatch. Having concluded with the above statement, it should be noted that limitations to this study may include sample size and environmental factors such as temperature and humidity.

Materials and Methods

Ethical approval

Ethical approval for this study was obtained from the institutional Animal care and Use Committee (IACUC) of University of Ilorin (Reference Number: FVM/UERC/0012021).

Animals

A total of fifty-six (56) Fulani ecotype chickens obtained from local backyard poultry farms in Ilorin metropolis (8.4882° N, 4.5341° E), Ilorin, Kwara state, Nigeria. All micro morphological study was carried out at the Veterinary Gross Anatomy Laboratory, Faculty of Veterinary Medicine, University of Ilorin, Ilorin, Kwara state, Nigeria. The birds were housed in a ventilated facility and provided food and water ad libitum for one week prior to experimentation.

Study design and data collection

The birds were grouped into 4 phases of development with each group having 7 males and 7 females. Thus: the chick phase (2-3-week-old), the young phase (2-3-month-old), the young adult phase (6–9-month-old) and the adult phase (18 – 24 Months). Live body weight (g) of each bird was measured using a Harvard trip weighing balance (Citizen® with 0.1 g – 100 kg range). The in-situ anatomical location of the preen gland was documented in each case. After humane slaughter, the gland were excised, weighed using a Golden-Metler electronic balance (U.S.A., GF-300 Analytical Balance 310 * 0.001g, (A&D Weighing, India), and photographed using a digital camera (Nikkon Coolpix A100). Preen oil was then squeezed and weighed using the same balance.

For histological analysis, preen glands from two birds (one male and one female) per developmental phase were excised, and fixed in 10 % buffered formalin solution for processing onto histological slides. The prepared slides were viewed under the Olympus microscope. Micrographs were captured using the AMscope 500 microscope software.

Statistical analysis

Descriptive statistics (Mean ± SD) were carried out using the Microsoft excel worksheet (Microsoft office 2013 software, Microsoft©). Inferential statistics analyses, including analysis of Variance, were carried out using the GraphPad software (GraphPad prism 5) to compare means across age and gender groups. Pearson's correlation coefficient of Graph pad prism version 5.0 was also used to assess the relationship between live weight, gland weight, and oil weight. A p-values of less than 0.05 was considered statistically significant.

Authors' Contributions

A.Z.A, L.O.A, F.N.O, E.S.K, and K.T.O. conceived and planned the experiments. L.O.A, A.O.I, and S.M.A carried out the experiments. A.Z.A., S.O.S, W.N. and L.O.A. planned and carried out the simulations. L.O.A., K.T.O, A.O.I, E.S.K., and W.N. contributed to sample preparation. A.Z.A., F.N.O., K.T.O., S.O.S., S.M.A and E.S.K. contributed to the interpretation of the results. A.Z.A., and K.T.O took the lead in writing the manuscript. All authors provided critical feedback and helped shape the research, analysis and manuscript.

Acknowledgements

The technical staff in the Departments of Veterinary Anatomy and Pathology, Faculty of Veterinary Medicine, University of Ilorin are highly appreciated.

This research was funded by efforts from individual staff who are authors of this manuscript.

Conflict of interest

The authors declare that there is no conflict of interest.

References

  1. Ajala AO, Ogunjimi SI, Famuwagun OS and Adebimpe AT. 2021. Poultry production in Nigeria: exploring its potentials for rural youth empowerment and entrepreneurship. Nigerian Journal of Animal Production, 48(10):114-123.DOI
  2. Adeyonu A, Okunola A., Alao M., Oyawoye E and Okonkwo C. 2021. An assessment of broiler value chain in Nigeria. Open Agriculture, 6 (1) 296-307.DOI
  3. Odubote K. 2015. The Local Chickens Of Nigeria-A Review. https://www.researchgate.net/publication/276058544 (accessed 6.4.2024).DOI
  4. Adeleke MA, Bello KO, Akinyemi IO, Irekhore OT, Ilori BM, Adeyeye OA and Famakinde SA. 2022. Morphological variations of qualitative and quantitative traits of Fulani ecotype chickens in Nigeria. Genetika 54 (1): 43-62.DOI
  5. Giraudeau M, Duval C, Guillon N. 2010. Effects of access to preen gland secretions on mallard plumage. Nature weissen schaften, 97(6) 577-581.DOI
  6. Reynolds SM, Castro I, Alley MR. 2017. Apteryx Spp. (Kiwi) possess an uropygial gland: Anatomy and Pathology. European Journal of Anatomy. 21 (2): 125-139.
  7. Ushakumary S, Venkatesan S, Sabiha HB. 2011. Histoloy and histochemistry of the preen gland in guinea fowl. Indian Veterinary Journal, 88(6), 132–134.
  8. Harem I, Kocak M, Kozlu T. 2010. Histologic Structure of the Uropygial Gland of the Osprey(Pandion haliaetus ). Journal of Zoo Wildlife Medicine, 41(1), 147–150.DOI
  9. Sandilands V, Powell K, Keeling LJ, Savory J. 2004. Preen gland function in layer fowls: Factors affecting preen oil fatty acid composition. British Poultry Science, 45 (1):109-15.DOI
  10. Moreno-Rueda G. 2017. Preen oil and bird fitness: a critical review of the evidence. Biological Reviews.DOI
  11. Rajathi S, Ashok N, Kumaravel A, Muthkrishnan S. 2013. Histological Development of papilla of preen gland in Duck. Indian Journal of Veterinary Anatomy, 90 (7): 56-58.
  12. Al-khazraji KI. 2017. Histological and Morphological study of the Uropygial gland in Gull (Larus canus). Diyala Journal of Pure Science, 13 (3): 230-239.DOI
  13. Johnston DW. 1988. A morphological atlas of the avian gland. Bulletin of the British Museum of Natural History. Zoology, 54, 199–259.
  14. Moller AP, Laursen, K. 2019. Function of the Uropygial gland in eiders (Somateria mollissima). Avian Research 10, 24.DOI
  15. Jawad HSA, Naji LHBI, Bakar SA. 2015. Partial Ablation of Uropygial Gland Effect on Production Performance of Akar Putra Chicken. International Journal of Poultry Science, 14 (4), 213–221.DOI
  16. Das LN, Mishra DB, Biswal G. 1962. Comparative anatomy of the domestic duck (Anas bochas). Indian Veterinary Journal, 42: 320-326.
  17. Delius JD. 1988. Preening and associated comfort behavior in birds. Annals of New York Academy of Sciences 525: 40–55.DOI
  18. Cotgreave P, Clayton DH. 1994. Comparative-analysis of time spent grooming by birds in relation to parasite load. Behaviour, 131 (3-):171–187.DOI
  19. Van LDW, Bokma S. 1987. Short-term feather maintenance as a function of dust-bathing in laying hens. Applied Animal Behaviour Science, 18, 197—204.DOI
  20. Shawkey MD, Pillai SR, Hill GE. 2003. Chemical Warfare Effects of Uropygial Oil on Feather Degrading Bacteria. Avian Biology, 34 (4):345–349.
  21. Stettenheim PR. 2000. The integumentary morphology of modern birds – an overview. Am Zoology, 40, 461–477. https://academic.oup.com/icb/article/40/4/461/101379
  22. Wanmi N, Samuel MO, Byanet O. 2016. Morphormetric Study of the Forebrain and Cerebellum of the Wild Rock Pigeon (Columba livia). International journal of Vet. Sci. 5(3): 118-121.
  23. Gosomji IJ, Salami SO, Nzalak JO, Kawu MU, Tizhe E.M, Gurumyem YG, Dung EC.2015. Morphological Development of the Gastrointestinal Tract Of Helmeted Guinea Fowl (Numida meleagris) at Pre-Hatch and Post-Hatch. Journal of Vet. Anatomy 8(2)17 – 27.DOI
  24. Sara Q, Cecilia M, Chiara, D, Alexandra MG, Giovanni D. 2006. Adaptive evolution of secretory cell lines in vertebrate skin. Caryologia, 59 (2): 187-206.DOI
  25. Mobini B, Ziaii A. 2011. Comparative histological study of the preen of broiler and native chicken. Journal of Veterinary Microbiology 6 (2 (20)): 121–128.
  26. 26. Rajathi S, Ashok N, Kumaravel A, Muthukrishnan S. 2014. Post hatch micrometrical development of the preen gland in the duck. Indian Veterinary Journal. 91 (7) : 51-53.
  27. Sadoon AH. 2011. Histological study of European Starling uropygial gland (Sturnus vulgaris). International Journal of Poultry Science, 10 (8): 662–664.DOI
  28. Hassanin A, Shoeib M, Massoud D. 2021. Micro and Macroanatomical features of the uropygial gland of duck (Anas platyrrhynchos) and pigeon (Columba livia). Biotechnic and Histochemistry, 96 (93), 213-222.DOI
  29. Isbilir F, Avci Kupeli Z, Isbilir I, Arican I, Ozyigit O. 2024. Macroscopic and microscopic characteristics of uropygial gland of Budgerigars (Melosittacus undulatus). Turkish Journal of Veterinary Research, 8 (1): 43-51.DOI
  30. Sawad AA. 2006. Morphological and histological study of uropygial gland in moorhen (G. gallinula C. choropus). International Journal of Poultry Science, 5 (10): 938–941.DOI
CAPTCHA Image