Preliminary Evaluation of the Therapeutic Effects of Neem Leaf Extract and Ivermectin in West African Dwarf Goats with Clinical Mange

Document Type : Research Articles

Authors

Department of Animal Production and Health, Faculty of Agricultural Sciences, Ladoke Akintola University of Technology, Nigeria.

Abstract

This study investigates the therapeutic potential of neem (Azadirachta indica) extract as a topical remedy for mange in West African Dwarf (WAD) goats, a breed commonly raised in Southern Nigeria and are affected by mange, which negatively impacts animal welfare and productivity. Twelve mange-infected goats were randomly assigned to three treatment groups: T1 (10 ml ivermectin pour-on), T2 (5 ml neem extract + 5 ml ivermectin), and T3 (10 ml neem extract). Treatments were administered topically over 14 day period.  Clinical evaluations included skin scrapings, red blood cell (RBC), white blood cell (WBC) and serum biochemical indices.  Phytochemical analysis of the neem extract revealed notable concentrations of alkaloids, saponins, and phenols.  Post-treatment observations showed improvement in skin condition across all groups. Notably, T2 goats exhibited significant increases in RBC and WBC counts (p < 0.05). Differences in serum biochemical indices, particularly potassium, were also noted. The findings indicate that neem extract, can serve as an effective alternative or adjunct treatment to ivermectin for mange control in WAD goats. Its use may be particularly beneficial in local environments with poor accesibility to conventional drugs, contributing to improve animal health and production outcomes.

Keywords

Main Subjects


Abbreviations

WAD: West African Dwarf

RBC: Red Blood cells

WBC: White Blood Cells

DM: Dry Matter

CP: Crude Protein

MCH: mean corpuscular haemoglobin

MCHC: mean corpuscular haemoglobin concentration

RDW-CV: red cell distribution width-coefficient of variation

MCV: mean corpuscular volume

PDW: platelet distribution width

Introduction

Achieving food security, a central objective of the Sustainable Development Goals, is closely tied to the availability of animal-sourced proteins. This underscores the importance of evaluating and implementing effective strategies to enhance animal production systems [1] . However, numerous factors limit optimal animal productivity, including management challenges, limited feed availability, and the prevalence of parasitic infestations and diseases [2] .

One of the prevalent parasitic diseases affecting the WAD goats, particularly in Southern Nigeria is mange [3]. Mange is a parasitic skin disease caused by infestation of the epidermis and hair follicles by mites or lice. This condition affects a wide range of mammalian hosts, including companion animals, livestock, and occasionally humans. The condition is characterised by clinical signs such as intense pruritus, restlessness, excessive scratching and rubbing against surfaces, alopecia, fatigue, reduced growth performance, and cutaneous skin lesions. In livestock, mange presents a significant welfare and economic burden, particularly in severe infestations. Economic losses are attributed to reduced weight gain, compromised skin and fleece quality, anaemia, poor body condition, diminished milk and meat yields, and impaired reproductive performance, such as suboptimal lambing and kidding rates [4 , 5 , 6]. Mange affects animals of all ages and is often more prevalent under poor management conditions. Mange mites are considered among the most detrimental ectoparasites in livestock management. Transmission is primarily through direct contact with infected animals [7] . Although a variety of ectoparasiticidal drugs are commercially available for mange treatment, high costs and limited accessibility make their use difficult, especially among smallholder and subsistence farmers. As a result, despite significant advances in modern veterinary medicine, traditional medicinal practices remain a primary means of disease management in many rural communities [8] . Numerous medicinal plants have been documented to exhibit antiviral, antifungal, antibacterial, analgesic, and antipyretic activities, suggesting their potential as alternative therapeutic agents for ectoparasitic infections [9] . Most medicinal plants are considered safe, cost-effective, and generally free from issues associated with drug resistance and residual toxicity [10] . Neem (Azadirachta indica A. Juss.), is a highly recognized multipurpose plant, with a broad spectrum of biological activities. Phytochemicals derived from medicinal plants have shown significant promise due to their diverse biological effects and potential medicinal applications, making them valuable resources for the development of pharmaceuticals, industrial products, and the integrated management of agricultural pests [11] . Neem, in particular, is often referred to as a panacea for various dermatological conditions [12] . It was reported that crude aqueous extract of neem 20% concentration has been shown to possess acaricidal efficacy comparable to ivermectin, as it did not induce hepatic and renal toxicity, and it has been associated with improved growth performance in rabbits infected with Sarcoptes scabiei var. cuniculi [7] . Given its therapeutic potential, it is worthwhile to evaluate the efficacy of neem leaves in the treatment of mange. This study was therefore, investigates the effectiveness of topical neem leaf extract compared to ivermectin in the treatment of mange in infected WAD goats.

Results

Biochemical Composition of Neem Extract

The biochemical composition of neem extract and ivermectin pour-on is summarized in Table I. The neem extract contained notable levels of alkaloids (0.468%), saponins (0.379%), and phenols (0.189%), with alkaloids being the most abundant bioactive compound. Glycosides (0.185%) and tannins (0.0033%) were present in moderate amounts, while other compounds were found in trace quantities.

Parameters Observation Qualitative Phyto Quantitative (%)
Neem extract
Alkaloids +++ 0.4680±0.05
Tannin ++ 0.0033±0.03
Phlobatannin + 0.0011±0.04
Saponin +++ 0.3790±0.07
Flavonoids + 0.0014±0.05
Terpenes + 0.0080±0.10
Steroids + 0.0012±0.08
Anthraquinones + 0.0026±0.05
Phenol +++ 0.1890±0.02
Chalcones + 0.0006±0.02
Glycosides ++ 0.1850±0.02
Cardenolides + 0.0050±0.01
KEY: +++ = PRESENT in an appreciable amount, ++ = PRESENT in a moderate amount, + = PRESENT in a trace amount
Table 1.Biochemical composition of the neem extract

Histopathological Changes

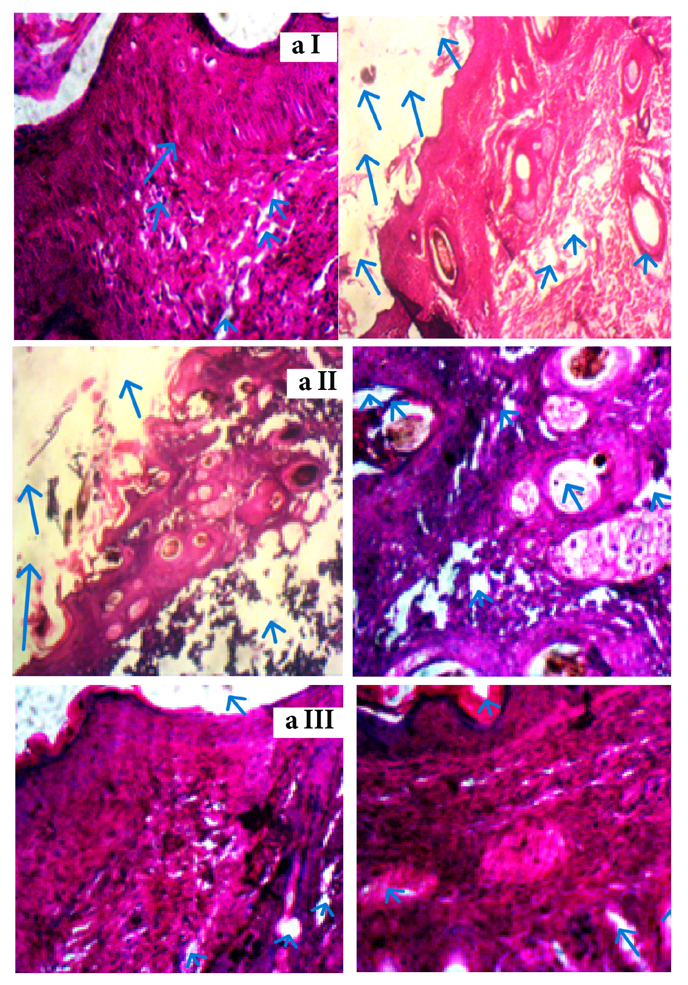
Histological analysis of skin samples before treatment (Figures I a, II a, and III a) revealed hyperkeratosis and atrophy, indicative of extensive damage caused by mange infection. After treatment (Figures I b, II b, and III b), the epidermis of the treated WAD goat skins appeared normal with moderate cellular infiltration. Notably, animals treated with neem extract exhibited minimal cellular infiltration compared to the other groups.

Figure a. I: The extent of tissue damage as a result of mange infection is evident in the image. The two representative image samples from animals in the treatment revealed hyperkeratosis (thickening of the skin), scabs and inflammation, symptoms of untreated mange. II: The two representative image samples from animals in the treatment revealed scabs, hyperkeratosis (thickening of the skin), inflammation, and alopecia, which are symptoms of untreated mange. III: The two representative image samples from animals in the treatment revealed atrophy of the epidermis, hyperkeratosis (thickening of the skin), scabs, inflammation, and alopecia, which are symptoms of untreated mange.

Figure b. I: After the treatment of the mange infected West African dwarf goats with Ivermectin (T1), the histopathological analysis revealed that the epidermis is normal but there is moderate cellular infiltrate in the dermis. II: After the treatment of the mange infected WAD goats with Ivermectin and neem leaf extract (T2), the histopathological analysis revealed that the epidermis is normal but there is moderate cellular infiltrate and hyperplasia of peri-follicular. III: After the treatment of the mange infected WAD goats with neem leaf extract (T3), the histopathological analysis revealed that the epidermis is normal with a few cellular infiltrates in the dermis.

Haematological changes

Table II presents the haematological indices of the WAD goats before and after topical treatment with neem extract and ivermectin. Prior to treatment, significant differences were observed in RBC count, haemoglobin concentration, MCH, MCHC, platelet count, RDW-CV, and PDW among experimental groups (p < 0.05). However, WBC count, haematocrit, and MCV showed no significant differences (p > 0.05). Post-treatment, significant increases were observed in WBC, RBC, MCV, MCH, MCHC levels across all experimental groups after treatment (p < 0.05). However, haemoglobin and haematocrit levels did not change significantly (p > 0.05). A notable rise in PDW and the percentage of large platelets was observed in groups T1 and T2.

Parameter T1 (10ml ivermectin) T2 (5ml neem extract+5ml ivermectin T3(10ml neem extract) SEM
White blood Cell Count (* 103μL) Before 6.85y 9.90y 8.73x 0.65
After 18.00x 17.13x 19.83y 0.88
SEM* 0.85 1.85 3.13
Red blood Cell Count (*106 μL) Before 1.71by 3.12ax 1.39bx 0.26
After 12.02bx 14.03ay 12.37by 0.33
SEM* 0.39 0.53 0.30
Haemoglobin g/dL Before 5.20b 8.90a 4.5b 0.64
After 6.48b 11.58a 7.10b 0.82
SEM* 0.62 1.12 0.61
Haematocrit (%) Before 14.05 20.38 14.77 1.64
After 23.58ab 33.40a 21.13b 2.36
SEM* 3.07 4.78 1.94
MCV (fl) Before 10.77y 10.79y 10.15y 0.16
After 17.13x 18.00x 17.17x 0.29
SEM* 0.25 0.70 0.62
MCH (Pg) Before 3.22aby 2.45by 3.53ay 0.20
After 7.28x 7.70x 7.13x 0.16
SEM* 0.03 0.07 0.32
MCHC (%) Before 28.10b 23.28cy 32.53a 1.33
After 32.08 31.48x 31.40 0.94
SEM* 3.67 1.17 2.22
Platelet count (* 103μL) Before 134.33by 188.65ay 124.48by 9.95
After 290.47x 320.27x 311.87x 8.23
SEM* 17.43 9.46 18.93
RDW-CV Before 20.35a 21.85a 18.17b 0.55
After 18.64b 22.18a 19.17b 0.57
SEM* 0.76 0.88 0.68
PDW Before 10.35by 11.95ay 10.46b 0.25
After 13.05bx 16.85ax 12.60b 0.75
SEM* 0.67 1.10 0.90
PLCR Before 66.25a 69.40a 56.90b 2.10
After 59.85 69.78 62.71 2.10
SEM* 4.38 2.88 2.27
MPV Before 14.10 ab 14.78a 13.23b 0.24
After 13.63b 15.25a 14.07ab 0.29
SEM* -0.58 0.42 0.24
abc- means with different superscripts in the same row are significantly different (P< 0.05); xy= means with different superscripts in the same sub –column are significantly different (t<0.05); SEM= standard error of mean among the treatments; SEM*= standard error of mean for the values before and after the treatment.
Table 2.Haematological Indices of the West African Dwarf Goats Before and After Mange Topical Treatment with Neem Extract and Ivermectin

In particular, animals treated with a combination of 5 ml neem extract and 5 ml ivermectin (T2) demonstrated significant changes (p < 0.05) in RBC count, haemoglobin concentration, haematocrit, RDW-CV, PDW, and MPV. However, no significant differences were found in WBC, MCV, MCH, MCHC, platelet count, or PLCR among treatment groups (p > 0.05). Goats treated with either 10 ml ivermectin (T1) or 10 ml neem extract (T3) showed no significant differences between each other (p > 0.05).

Serum Biochemical Indices

Table III presents the serum biochemical parameters and mineral levels of the WAD goats pre and post topical treatment with neem extract and ivermectin. For most measured indices, no significant differences were observe (p > 0.05). However, potassium levels showed a significant change after treatment (p < 0.05).

Parameter T1 10ml ivermectin T2 5ml neem extract+5ml ivermectin T3 10ml neem extract SEM
Total protein (g/dl) Before 4.30 3.64y 4.44 0.25
After 5.21 5.50x 4.92 0.18
SEM* 0.56 0.53 0.46
Albumin (g/dl) Before 1.64y 1.65y 1.61y 0.05
After 3.09x 3.39x 3.16x 0.17
SEM* 0.27 0.24 0.46
Globulin (g/dl) Before 2.66 1.98 2.83 0.25
After 2.11 2.11 1.77 0.11
SEM* 0.34 0.56 0.31
Aspartate Aminotransferase (u/l) Before 188.03 192.49 187.46x 13.78
After 168.08 190.42 152.80y 8.47
SEM* 16.57 48.23 9.69
Alanine Aminotransferase (u/l) Before 46.64x 50.21 46.45x 4.43
After 16.43y 20.75 19.97y 1.07
SEM* 3.36 3.44 3.00
Alkaline Phosphatase (u/l) Before 53.63y 45.41y 56.17y 5.44
After 123.05x 137.00x 163.67x 8.99
SEM* 13.13 19.24 29.54
Albumin-globulin Ratio Before 0.65y 1.24 0.58y 0.22
After 1.50x 1.66 1.88x 0.16
SEM* 0.06 0.58 0.05
Minerals Sodium (Mmol/l) Before 105.02 106.34 105.47 0.46
After 148.33 139.89 130.70 7.79
SEM* 16.29 11.24 14.38
Potassium (Mmol/l) Before 1.99 2.30 2.43 0.17
After 3.33a 2.25b 2.73ab 0.20
SEM* 0.35 0.77 0.46
Phosphorus (100mg/ml) Before 1.88 2.06 1.75 0.08
After 1.80 2.03 2.05 0.07
SEM* 0.24 0.28 0.46
abc- means with different superscripts in the same row are significantly different (P< 0.05); xy= means with different superscripts in the same sub –column are significantly different (t<0.05); SEM= standard error of mean among the treatments; SEM*= standard error of mean for the values before and after the treatment.
Table 3.Serum Biochemical Indices and minerals of the West African Dwarf goats before and after mange topical treatment with Neem extract and Ivermectin

Discussion

The biochemical analysis of neem extract revealed significant concentrations of alkaloids (0.468%), saponins (0.379%), and phenols (0.189%). These bioactive compounds are known to possess antiparasitic properties, which likely contributed to the neem extract's effectiveness against mange [12] . Specifically, biochemical constituents such as saponin and azadirachtin, may increase the healing rate, and thus the animal can increase its feed intake. Saponin is one of the major constituents of neem that is responsible for the treatment of skin diseases. Alkaloids and saponins were responsible for the positive effect of the neem leaf extract on the mange-infected WAD goats. Saponins are reported to have antibiotic, antifungal and antiviral activities [13] .

Neem has been traditionally used as an herbal remedy for various parasitic infestations, with studies showing that its active constituents can exert acaricidal, antibacterial, and antifungal activities [14and7] . In the current study, moderate amounts of glycosides (0.185%) and tannins (0.0033%) in neem extract suggest their potential role in enhancing the therapeutic properties, as both tannins and saponins are known for their antimicrobial and anti-inflammatory effects [14] . The ivermectin pour-on, with its active ingredient at 5 mg/ml, aligns with standard concentrations used for treating mange in livestock and was included as a conventional treatment for comparison.

Histopathological examination of skin samples pre and post treatment confirmed considerable dermal healing, especially in the neem treated group (Figure III b). Before treatment, all animals (Figures I a, II a and III a) showed signs of hyperkeratosis (a skin condition that occurs when the skin becomes thicker than usual in some places [15] and epidermal atrophy, both characteristic lesions of mange infestation [7] . After treatment, the skins of the neem-treated goats showed a normalized epidermis with minimal cellular infiltration (Figure III b), suggesting that neem extract not only alleviated the clinical symptoms of mange but also promoted skin recovery. These findings align with previous research indicating the skin-healing and anti-inflammatory properties of neem, which contribute to its effectiveness in treating skin conditions [7] .

Haematological parameters further provided insights into the systemic effects of the treatments. The significant differences in the haematological parameters and the low values before the treatment, with the exception of WBC, haematocrit and MCV implies that the severity of the mange infection varies among the animals. Following treatments, significant increases were observed in WBC count; RBC count, MCV, MCH, and MCHC. These changes suggest a possible improvement in immune function and RBC production, likely in response to the reduction in parasitic load [9] . The increased WBC values remained within the recommended range for WAD goats (6.8-20.1×103µ/l, reported by [16]. Interestingly, no significant changes were observed in haemoglobin or haematocrit, indicating that these parameters may be less sensitive to the effects of the treatments in the short term. Moreover, increases in PDW and PLCR, particularly in groups T1 and T2, can suggest a heighten thrombopoietic response to infection and subsequent treatment [9].

The values for post-treatment of albumin levels (3.09-3.16g/dl) fell within the normal physiological range for goats (2.7-3.9g/dl, reported by [17] as the normal range of albumin for goats. Albumin is quantitatively the most important plasma protein synthesized by the liver, and it indicates its health status. Total protein levels (4.90-5.60 g/dl) was lower than that reported by [18] (5.5-9.0g/dl) but remained consistent with reported by [19] (6.0–7.0 g/dL). Abnormally low protein levels indicate anaemia. Lower total protein before treatment likely resulted from the activities of the parasitic microorganisms, thus interfering with the normal absorption of nutrients [20]. This confirms the activities of the mites that feed on the blood of the host animal. The significant increase in total protein post-treatment supports the neem extract biochemicals probably disrupted mites' activity.

Serum biochemical analyses showed no significant changes across most parameters, except for potassium, which increased significantly post-treatment. Potassium is essential for maintaining cellular functions. Its increased levels post treatment may reflect improved cellular health and metabolic function [21] . The absence of significant changes in other biochemical markers suggests that the treatments did not induce major metabolic disruptions or deficiencies, further highlighting the safety of neem extract and ivermectin as topical treatments for mange.

In conclusion, neem extract proved to be a promising alternative or complementary treatment for mange in WAD goats, offering improvements in blood profile and skin recovery similar to ivermectin. Neem's bioactive compounds, such as alkaloids and saponins, may contribute to its acaricidal and growth-promoting effects. These effects mirror those of ivermectin, making neem a viable alternative or adjunct treatment. Given its efficacy, affordability, and safety, neem extract represents a valuable tool for managing mange in small ruminant production systems, particularly in resource-limited settings.

Materials and Methods

Experimental site and location

The study was carried out at the Small Ruminant Unit of the Ladoke Akintola University of Technology Teaching and Research Farm, located in Ogbomoso, Oyo State, Nigeria. All procedures adhered to ethical guidelines for the care and use of animals in research and were approved by the Committee on Research Ethics, Faculty of Agricultural Sciences, Ladoke Akintola University of Technology.

Preparation of the test ingredient

Fresh neem (Azadirachta indica) leaves, weighing approximately 5 kg, were harvested from trees within the farm premises. The leaves were allowed to slightly wilted before being homogenized with 10 litres of clean water. The resulting mixture was allowed to macerate overnight in a dark, enclosed environment to minimize photodegradation and prevent fermentation. The mixture was then filtered using a muslin cloth to obtain a clear extract, which was stored in a clean, airtight plastic container until use. Ivermectin, used as the conventional treatment, was sourced from a certified veterinary pharmacy. The formulation consisted of a mixture of 22,23-dihydroavermectin B1a (≥90%) and 22,23-dihydroavermectin B1b (≤10%), with the active ingredient concentration at 5 mg/ml in a pour-on form.

Experimental animals, housing and management

Twelve WAD goats, with an average body weight of 10.22 kg and diagnosed with mange, were sourced from local ruminant farmers. Upon arrival, the experimental pen was thoroughly cleaned and disinfected. Wood shavings were used as bedding material. The goats were quarantined for two weeks and followed by a subsequent two-week acclimatization period before the trial began. During the acclimatization phase, the goats were fed a basal diet of Megathyrsus maximus, and supplemented with concentrate feed (20% Brewers dry grain, 41% cassava peel, 35% wheat offal, 2% salt, 1% bone meal and 0.5% premix). Salt lick were provided, and goats had free access to water ad libitum.

After the acclimatization period, animals were weighed amd balanced by body weight, then randomly assigned into three treatment groups; with each animal individually tagged for identification. The treatment groups were: Treatment 1 (T1), which received 10 ml of ivermectin pour-on; Treatment 2 (T2), which received a combination of 5 ml of neem extract and 5 ml of ivermectin pour-on; and Treatment 3 (T3), which received 10 ml of neem extract. All treatments were applied topically along the dorsal midline using a improvised syringe, once daily for two weeks to ensure elimination of the causal organisms.

Data collection

A comprehensive physical examination was performed to diagnose mange infection. Skin scrapings were collected using sterile surgical blades and immediately preserved in 10% neutral-buffered formalin for histopathological analysis. Blood samples (10 ml) were drawn from the jugular vein of each animal at both the beginning and end of the trial. For haematological analysis, approximately 5 ml of blood was drawn into sample tubes containing Ethylene Diamine Tetraacetic Acid to prevent coagulation. Serum biochemical indices were assessed using 5 ml sample collected in plain tubes. All samples were immediately sealed and gently inverted for one minute to mix, and were transported to the laboratory in an ice-packed containers to maintain sample integrity. Blood analyses were conducted using a Haema-autoanalyser B1110 5 plus (Prestige Diagnostics Ltd, United Kingdom).

Laboratory Procedure and Chemical Analysis

The neem extract was evaluated for the presence of alkaloids, tannins, phlobatannins, saponins, flavonoids, terpenes, and steroids. Standard phytochemical screening procedures were followed, as reported by [22].

Experimental design: The study used a Completely Randomized Design for the experiment.

Statistical analysis: Data were analyzed using a one-way analysis of variance (ANOVA) using the SAS software package [23]. In cases where ANOVA revealed significant differences among treatment means, Duncan's Multiple Range Test (DMRT) was used to determine which means differed significantly. Statistical significance was set at p < 0.05.

Authors' Contributions

OT conceived and planned the experiments. OT,O, OO and FA carried out the experiments. JA, OT, O, OO and FA contributed to sample preparationand the interpretation of the results. OT took the lead in writing the manuscript while JA proof read it. OT, JA, O, OO, FA provided critical feedback and helped shape the research, analysis and manuscript.

Acknowledgements

We would like to thank the students, field assistants, and authors are appreciated for their teamwork, collaborative efforts, and financial contributions. Funding assistance was not received during the research.

Conflict of interest

The authors declare that there is no conflict of interest.

References

  1. Oosting S, van der Lee J, Verdegem M. Farmed animal production in tropical circular food systems. Food Security. 2022; 14 :273–292.DOI
  2. 2.Bamaiyi PH. Factors Militating Against Animal Production in Nigeria. Intl. J. of Livestock Res. 2013; 3(2) ISSN 2277-1964. www.ijlr.org
  3. Anyaogu D, Chukwudi C, Onuorah P, Shoyinka V. Diagnosis of mange in the West African Dwarf and Red Sokoto goats. Intl. J. of Inf. Diseases. 2018; 603 :73(314).DOI
  4. Fthenakis GC, Papadopoulos E, Himonas C, Leontides L, Kritas S, and Papatsas J. Efficacy of moxidectin against sarcoptic mange and the effects on milk yield of ewes and growth of lambs, Vet. Paras. 2000; 87: 207-216.
  5. Taylor MA, Coop RL, Wall RL. Veterinary Parasitology. 3rd Edition, Blackwell Publishing, Oxford, 717, 2007.
  6. Murshed M, Al-Quiraishy S, Mares MM. Survey of mange mite infesting sheep in Riyadh region, Saudi Arabia. Saudi J. of Bio. Sci. 2022; 29(1):595-600.
  7. Seddiek SA, Khater HF, El-Shorbagy MM, Ali MM. Effect of neem extract and ivermectin on mite (Sarcoptes scabiei) in experimentally infected rabbits. Proceeding of the 7th Int. Sci. Conf., Mansoura, 28-30 August, 2012.
  8. Yuan H, Ma Q, Ye L, Piao G. The traditional medicine and modern medicine from natural products. McPhee D. J. (Ed.) Molecules. May; 2016; 21(5): 559.DOI
  9. Aladesanmi AJ, Iwalewa EO, Adebanjo AC, Akinkunmi EO, Taiwo BJ, Olorunmola FO, Lamikanra A. Antimicrobial and antioxidant activities of some Nigerian medicinal plants. Afr. J. of Trad. Comple. Alter. Med. 2006; 4(2):173-84.DOI
  10. Tipu MA, Akhtar MS, Anjum MI, Raja ML. New dimension of medicinal plants as animal feed. Pak. Vet. J.; 2006 ;26(3).10-15.
  11. Hashmat I, Azad H, Ahmed A. Neem (Azadirachta indica A. Juss) –A nature&#039;s drug store: an overview. Intl. Res. J. of Bio. Sci. 2012; 1(6): 76-9.
  12. Gopinath H, Karthikeyan L. Neem in dermatology: Shedding Light on the traditional panacea. Ind. J. of Derma. 2021; 66 (6): 706.DOI
  13. Soetan KO, Oyekunle MA, Aiyelaagbe OO, Fafunso MA. Evaluation of the antimicrobial activity of saponins extract of Sorghum bicolor L. moench. Afr. J. of Biotech. 2006; 5(23): 2405-2407.
  14. Mulla MS. Neem in pest management. Bioresource Technology, 2009; 100(19), 5252-5256.
  15. Nall R. What you should know about hyperkeratosis. Medically reviewed by Cynthia Cobb. 2018 Accessed on August 23, 2023.
  16. Okpara O, Obakanurhe O, Irikefe-Ekeke EP, Inweh D. Evaluation of Growth, Blood Parameters and Carcass Quality in WAFD Goats Fed Graded Amount of Concentrate Diets. Advances in Animal and Veterinary Sciences. 2025; 13.DOI
  17. Okpanachi U, Okpanachi GAC, Kaye J, Agu CI, Odah EO. Haematological profile and serum biochemistry of West African dwarf goats fed sun-dried yellow cashew pulp-based diets. J. of Appl. Sci. 2019; 19: (4): 319-324.
  18. Merck Veterinary Manual (MVM). Haematological reference ranges. Merck veterinary manual.2012. Retrieved from http://www.merck manuals.com
  19. Mohammed SA, Razzaque MA, Omar AE, Albert S, Al-Gallaf WM. Biochemical and haematological profile of different breeds of goat maintained under intensive production system. Afri. J. of Biotech. 2016 ;15(24):1253-1257.DOI
  20. Ikwunze K, Jiwuba LC, Okoye LE, Amaduruonye W, Ilo SU, Okah U, Ahamefule FO. Haematology and serum biochemistry of West African Dwarf goats fed Pleurotus tuber-regium treated cassava root sievate based diets. Res. Sq. 2022.DOI
  21. Barton MD Management of antimicrobial resistance in veterinary medicine. Microbial Drug Resistance. 2009; 15(1): 27-34.
  22. Statistical Analysis System. Users guide for Windows. Analysis System Institute Inc. North Carolina, USA., 2003.
  23. Ushie OA., Aikhoje EF, Aasegh TJ, Ibrahim AI, Bako B and Ettah AO. Estimation of total alkaloids, saponins flavonoid, tannins and phenols in Thaumatococcus danielli leaves. World Journal of Pharmaceutical and Medical research. 2022;8(4): 242-246.
CAPTCHA Image