Effects of Industrial Wastewater on Gross and Histopathological Changes of Vital Organs of Swiss Albino Mice

Document Type : Research Article

Authors

1 Department of Pathobiology, Faculty of Veterinary Medicine and Animal Science, Gazipur Agricultural University, Gazipur 1706, Bangladesh.

2 Department of Gynecology, Obstetrics and Reproductive Health, Faculty of Veterinary Medicine and Animal Science, Gazipur Agricultural University, Gazipur 1706, Bangladesh.

3 Department of Agroforestry and Environment, Faculty of Forestry and Environment, Gazipur Agricultural University, Gazipur 1706, Bangladesh.

Abstract

Industrial wastewater contaminates the land, water, and air, causing serious environmental damage. Industrial wastewater can be combustible, reactive, poisonous, or carcinogenic. Therefore, this study aimed to investigate the effects of industrial wastewater on the growth and gross and histoarchitecture of vital organs of male Swiss albino mice. Thirty-two mice of four weeks of age were divided into four groups. Normal drinking water was supplied to the control group of mice. Mice from groups 1, 2, and 3 were provided with normal drinking water mixed with the garment industry's wastewater at concentrations of 5%, 10%, and 20%, respectively, orally up to experimental week 24. Subsequently, the body weights of mice, as well as the weights of their liver, heart, and kidney, were measured after the completion of 24 weeks of treatment of mice with different concentrations of industrial wastewater. Moreover, histopathological changes in the liver, heart, and kidney were investigated. Body weight was decreased in wastewater-treated mice in comparison to control mice. An increase in the weight of the livers of mice treated with wastewater was observed. Nevertheless, the weights of hearts and kidneys were decreased in wastewater-treated mice. Congestion, hepatocellular necrosis, and infiltration of inflammatory cells were observed in the liver. Disruption of connective tissue was evident in the myocardium of the heart of wastewater-treated mice with necrosis and infiltration of inflammatory cells. Moreover, congestion, cellular necrosis, hypertrophied glomerulus, degeneration in renal tubular epithelial cells, and dilated tubules were evident in the kidney. From these findings, it was concluded that industrial wastewater has detrimental effects on the vital organs of mice.

Keywords

Main Subjects


Introduction

The industrial sector of Bangladesh is growing nowadays. Bangladesh is one of the emerging nations whose economies greatly benefit from industrialization. However, it is a question of opinion that environmental contamination, including air, water, and soil pollution, is invariably associated with industrial development. The main industries that create pollution include those that deal with textiles, tanneries, fertilizer plants, medicines, cement, pulp and paper, etc. Alkaline, acidic pollutants such as benzidine, beta-naphthylamine, sulfide, lime, cadmium, copper, chromium, and numerous hazardous colors, among others, are produced by these industries. Industrial pollutants have a significant impact on the physical and mental well-being of workers [1].

Due to untreated effluent from industries and municipalities being dumped into natural water sources, the Gazipur areas are notorious for being extremely polluted [2]. From the polluted water sources, this water is dispersed into the crop field, which is a major source of food for the people of Bangladesh, which is a highly populated country. Moreover, people and animals get exposed to this wastewater and suffer from various carcinogenic problems, acute and chronic diseases.

The vital organs are considered the most important for survival. It is important to take care of the vital organs for a healthy life. The vital organs of mice are the liver, lungs, brain, heart, and kidneys. Any abnormality of these organs will reflect on the general health condition, which causes great economic losses in animal production [3]. Any kind of pathological condition of organs indicates the presence of disease in organs and systems with all its resident microorganisms [4]. Industrial wastage is very toxic as it contains dyes, alkalis, heavy metals, etc., in high concentration. It has been reported that industrial waste products contain many metals or toxic organic compounds that cause damage to the central nervous system of animals, including humans [5,6]. Some of the metals have a carcinogenic effect as well [5,6]. Several chemicals and dyes derived from the textile industry lead to bladder cancer [7].

Industrial activity is very important from a socioeconomic standpoint, but it also poses a serious environmental risk due to pollution [8]. The massive volume of solid or liquid waste products from these industries is frequently dumped in watercourses without any treatment or with insufficient or poor treatment. It has a detrimental effect on environmental ecosystems [9]. In Bangladesh, industrial waste contamination is a concerning problem. However, no comprehensive study has been performed yet in Bangladesh to know the effects of industrial wastewater on living animals. There is a scarcity of reports about the effect of these industrial wastes on the vital organs of the living body. Therefore, this research work was undertaken to investigate the effects of industrial wastewater on the vital organs of male Swiss albino mice.

Results

Analysis of industrial wastewater

Wastewater collected from the garment industry was greyish and had a foul odor. The pH value of the water sample was 8.0 (Table 1 ), which indicated that the water was slightly alkaline. The characteristics of the wastewater used during the present study were as follows, which were compared with normal water (Table 1). The biological oxygen demand (BOD) and chemical oxygen demand (COD) levels exceeded the limitations established by the Department of Environment, Bangladesh [10]. The value of the BOD of the collected water was 78 mg/L. The value of the COD of collected water was 147 mg/L (Table 1). Amongst the heavy metals, the concentrations of lead (Pb), copper (Cu), sulphates, and nickel (Ni) ranged from 0.61, 0.33, 0.22, and 524 mg/L (Table 1) in the collected wastewater. These metals in wastewater surpassed the permissible limit in drinking water [10 ].

Characteristics Characteristics Garments indus trial wastewater Normal water (control)
pH 8.0 7.0
BOD (mg/L) 78 Nil
COD (mg/L) 147 Ni
Chemicals/ Metal (mg/L) Permissible limit in drinking water
Lead (Pb) 0.5 0.61 Nil
Copper (Cu) 0.2 0.33 Nil
Nickel (Ni) 0.2 0.22 Nil
Sulphates 200 524 Nil
Color Grayish Transparent
Table 1.Characteristics of industrial wastewater in comparison to normal water (control)

Effects of industrial wastewater on Body weight of mice

At the start of the experiment, there was no significant difference (p > 0.05) in the body weight of mice. However, after completing 24 experimental weeks, the body weight of mice was decreased in all wastewater-treated mice in comparison to the control group (Figure 1). Significant reduction of body weight of mice was observed in mice of groups 2 (46.42±1.35gm) and 3 (44.16 ± 0.88gm) ( p < 0.05) compared to the mice of the control group (50.19 ± 3.03gm) (Figure 1).

Figure 1.Effects of watering of mice with industrial wastewa- ter on the growth of mice. After completing 24 study weeks, a significant reduction in the body weight of mice of groups 2 and 3 and a moderate reduction in mice of group 1 compared to the control were ob- served. The values expressed were group average weight ± SD. Significant differences are indicated with one asterisk (p < 0.05).

Effects of industrial wastewater on the weight of liver

Weights of different vital organs, including the liver of the wastewater-treated mice, were evaluated, and the obtained results showed a significant change in the relative weight of these organs of the wastewater-treated group in comparison to the control group.

After completing 24 study weeks, liver weights were increased in all wastewater-treated mice in comparison to the control group (Figure 2). Significantly increased weight of liver was recorded in mice of group 2 (3.61 ± 0.06gm) and group 3 (3.7 ± 0.06gm) ( p< 0.05) compared to control group (3.25 ± 0.12gm). The highest increased weight of the liver was observed in mice of group 3 (Figure 2).

Figure 2.Effects of watering mice with industrial wastewater on the weight of the liver of mice. After completing 24 study weeks, a significant increase in liver weight of mice in groups 2 and 3, and an insignificant increase in liver weight in those of group 1 compared to control were observed. The values expressed were group aver- age weight ± SD. Significant differences are indicated with one asterisk (p < 0.05).

Effects of industrial wastewater on the weight of the heart

The weights of heart were decreased in the wastewater-treated group of mice in comparison to the control group after completing 24 study weeks (Figure 3). Significant reduction of heart weight was observed in mice of group 2 (0.29 ± 0.02gm) and group 3 (0.29 ± 0.02gm) (p < 0.05) compared to the control group (0.34 ± 0.01gm) (Figure 3).

Figure 3.Effects of watering of mice with industrial wastewater on the weight of the heart of mice. After completing 24 study weeks, a significant reduction in heart weight of mice in groups 2 and 3, and an insignificant reduc- tion in mice in group 1 compared to the control were observed. The values expressed were group average weight ± SD. Significant differences are indicated with one asterisk (p < 0.05).

Effects of industrial wastewater on the weight of the kidney

Weights of kidneys were decreased in all wastewater-treated mice in comparison to the control group after completing 24 study weeks (Figure 4). Significant reduction of weight of the kidney of mice was observed in mice of groups 2(0.38 ± 0.02gm) and 3 (0.36 ± 0.01gm) (p < 0.05) compared to the mice of the control group (0.41±0.01gm) (Figure 4).

Figure 4.Effects of watering of mice with industrial wastewater on the weight of the kidney of mice. After complet- ing 24 study weeks, a significant reduction in kidney weight of mice in groups 2 and 3, and an insignificant reduction in mice in group 1 compared to the control group were observed. The values expressed were group average weight ± SD. Significant differences are indi- cated with one asterisk (p < 0.05).

Gross and histopathological assessment

Liver

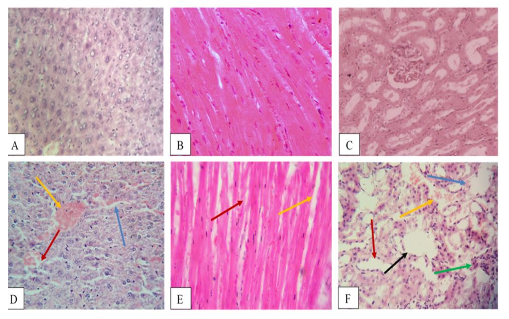
Grossly, hemorrhagic spots and necrotic foci were observed in the livers of wastewater-treated mice. Moreover, the size of the livers was also increased in all experimental groups of mice in comparison to the control group of mice. A detailed histopathological investigation was conducted on the liver, heart, and kidney of wastewater-treated mice and the control group of mice. Histological alterations were noted in the various groups that received treatment. Hepatocellular necrosis, dilation of sinusoids, and congestion in the central vein were observed in liver sections (Figure 5A).

Figure 5.Histopathology of liver, heart, and kidney of industrial wastewater-treated mice. (A-C) No significant change was observed in the liver, heart, and kidney of the mice in the control group. (D) Congestion in the central vein of the liver (yellow arrow), necrosis of hepato- cytes (red arrow), and hepatic sinusoidal dila- tation (blue arrow) were observed. (E) Necro- sis of muscle fibers of the heart (red arrow), increased intra-myocardial spaces (yellow ar- row) were evident. (F) congestion (yellow ar- row), cellular necrosis (blue arrow), hypertro- phied glomerulus (green arrow), degeneration of renal tubular epithelial cells (black arrow), and dilated tubules (red arrow) were reported in the kidney (H&E: ×40).

Heart

Grossly, the size of the hearts was decreased in all experimental groups of mice in comparison to the control group of mice. Histologically, infiltration of inflammatory cells, necrosis, and disruption of connective tissue have been recorded (Figure 5B). Intramyocardial spaces were increased in the sections of the heart in the wastewater-treated group of mice (Figure 5B).

Kidney

Grossly, the size of the kidneys was decreased in all experimental groups of mice in comparison to the control group of mice. Histologically, there was infiltration of inflammatory cells. Congestion, cell necrosis, degeneration of renal tubular epithelial cells, hypertrophied glomerulus, and tubular dilatation were observed in kidney sections (Figure 5C). In the case of all three organs, the histopathologic changes were severe in the highest concentrated effluent wastewater-treated mice (Figure 5C ).

Discussion

The environment of Bangladesh suffers from the intermittent dumping of industrial waste, a consequence of insufficient regulated disposal and industry negligence. Waste streams typically contain a complex variety of toxic substances along with any metals, chemicals, and trace elements as well as pathogens that settle in lakes, streams, rivers, the ocean, and other bodies of water [11]. It has an adverse effect on environmental ecosystems [9]. In Bangladesh, textile waste contamination poses a serious threat to the environment. The high quantity of dyes, alkalis, heavy metals, and other contaminants in these wastes makes it extremely dangerous. These wastewaters also contain many dyes, organic solvents, and fixatives, which can cause damage to vital systems of the animal body, including humans. Some of the metals have a carcinogenic effect as well [5,6].

In the present study, the effects of industrial wastewater on the vital organs, namely the liver, heart, and kidney of male Swiss albino mice were investigated. We first collected wastewater from the ETP of a garment industry in the Gazipur district. The colors of the collected wastewater were greyish in color. This investigation focused on the unpleasant odor that water emits. Following their release into a river, industrial wastewaters have a significant detrimental impact on the river's water quality, as well as the quality of other nearby water sources [12,13 ].

The pH value of the collected wastewater was 8.0 (figure ), which indicated that the water was alkaline. The pH value of different industrial wastewaters in Bangladesh ranged from 7.2 to 11.9 [14,15]. BOD is defined as the amount of dissolved oxygen needed by aerobic biological organisms to break down biodegradable organic material present in a given water sample at a certain temperature over a specific time period [16]. BOD values have been widely adopted as a measure of the pollution effect. High BOD content is an indicator of polluted water, while a low BOD indicates good quality water [16]. In the present study, the found BOD value was 78 mg/L, which is far above the standard permissible limits. On the other hand, COD is defined as the amount of dissolved oxygen that must be present in water to oxidize chemical organic materials by a strong chemical oxidant [16]. Both BOD and COD values are broadly accepted as the measure of the relative oxygen-depletion effect of a waste contaminant. In this study, COD value was 147 mg/L, which is extremely higher than the standard permissible limits. It has been reported that BOD and COD values were higher in industrial effluents in this study area [17]. Several heavy metals, including Pb, Cu, Ni, and sulphates, were also found at higher concentrations in these collected effluents.

In this study, the body weight of the treated mice declined after completing the study period in comparison to the control mice. This may have happened due to the dissolved heavy metals in the wastewater. Similar results were reported in rats and mice after being treated with industrial effluent [18,19]. It has been reported that the body weights of mice drop when exposed to lead acetate. Because lead affects the satiety setup, less food was consumed, which resulted in less growth [20].

The weights of the liver were increased, and the weights of heart and kidneys were decreased in all wastewater-treated mice in comparison to the control group. The alteration rate was the highest in the mice treated with the highest concentration of industrial wastewater. Moreover, in comparison to the control group, a number of pathologic lesions have been found in the livers, kidneys, and hearts of wastewater-treated mice. Our findings are consistent with earlier research on the effects of industrial wastewaters on mammals, which documented several changes in mice and rats following exposure [21-24]. In order to gain a deeper understanding of the impacts of industrial wastewater on several organs of exposed mice, a histopathology examination was carried out. The histopathological changes in the liver, kidney, and heart of mice treated with wastewater were examined. After treatment with industrial wastewater, several histopathological lesions were observed in the liver and kidney. In the liver, congestion in the central vein, hepatic necrosis, and hepatic sinusoidal dilatation were observed. Moreover, congestion, cellular necrosis, hypertrophied glomerulus, degeneration of renal tubular epithelial cells, and dilated tubules were reported in the kidney.

In vertebrates, the liver serves as the primary organ for detoxification activities [21]. It has a number of metabolizing enzymes that are crucial to the biotransformation process of xenobiotics. Fewer or more harmful metabolites are produced as a result of this mechanism [25]. Due to the adaptive response against harmful metabolites, weight of the liver might be increased after treatment with industrial effluent. However, it has been noted that a number of metals, such as arsenic, sulphates, cadmium, lead, nickel, mercury, and hydroxyl, can increase the generation of reactive oxidant species (ROS), such as superoxide radicals, hydroxyl, and hydrogen peroxide [26]. Lead and arsenic have been linked to oxidative stress and cell damage because they change the enzymatic activity of antioxidant system [21 ].

Wastewater contains a variety of pollutants that might disrupt the antioxidant system and metabolic processes of an animal (such as the metabolism of fats and carbohydrates), which could account for the toxicity of the wastewater. The damage shown in the kidneys and liver of the mice may be linked to oxidative stress in their tissue, which is most likely caused by the pollutants in the examined wastewater. The kidneys and liver have a strong correlation with histological tests and are the most sensitive markers of chemical toxicity [21].

Lead has been linked to oxidative stress and cell damage by modifying the enzymatic activity of the antioxidant system. For instance, rats exposed to lead have shown to exhibit decreased levels of both catalase (CAT) and superoxide dismutase (SOD) activity [27]. The oxidative damage in the liver and kidneys of exposed animals was linked to the inhibitory effects of heavy metals [26,27]. Again, exposure to lead causes a substantial increase in lipid peroxidation, which oxidatively degrades membrane polyunsaturated fatty acids, resulting in the loss of membrane phospholipids and, ultimately, membrane integrity [28]. Furthermore, lead causes damage to the proximal tubular epithelium of the kidney by altering cell membrane permeability [20]. On the other hand, Ni is well known for being an immunotoxic, neurotoxic, genotoxic, aspiratory poisonous, nephrotoxic, hepatotoxic, hematotoxic, and carcinogenic agent [29]. It has been reported that Ni caused oxidative stress to regulate reactive radicals, which in turn caused necrotic and other inflammatory reactions in the livers of rats [30,31,22]. Rats given dietary nickel acetate for a few weeks were shown to exhibit renal tubular degeneration [32]. Moreover, Ni has severe detrimental effects on the heart of rats [29]. Nickel exposure causes myocardial fibrosis in rats [32]. Nevertheless, an increased level of Cu causes dysfunctions of the liver and kidney [33].

Histopathological study of the heart of the wastewater-treated mice showed necrosis of the connective tissues of the heart and infiltration of inflammatory cells. Increased intra-myocardial spaces were evident. These findings imply that the structure and function of cardiac tissue may be impacted by industrial wastewater. As an adaptive response to improve the body's ability to clear itself of invasion, the heart increases blood flow while under stress [34]. Thus, the heart is vital to the body's defense, but several environmental pollutants may potentially disrupt or impair cardiac function. As a result, this organ might be a helpful indicator that provides information about the level of toxicity.

Since elevated cholesterol is associated with an increased risk of cardiovascular disorders [22], the disruption of lipid metabolism is most likely the cause of the observed damage to heart tissue. Furthermore, fish heart tissues (e.g., catfish) treated with effluents showed histological abnormalities such as necrosis and cellular infiltration [35]. It has been reported that endocardial inflammation and cellular disintegration have been observed in animals exposed to pharmaceutical effluent [25]. The findings of this study collectively indicated that the vital organs of mice, especially the liver, kidney, and heart, are negatively impacted by industrial wastewater.

Conclusion

The environmental pollution problem in Bangladesh is being complicated due to very fast industrialization without proper attention to the environment. In this study, the garment wastewater among the industrial wastes was used to treat the mice. In this study, the weight of livers was increased in the wastewater-treated group of mice. There was congestion in the central vein in the liver, hepatic sinusoidal dilatation, and hepatocellular necrosis. The weights of the heart and kidneys were decreased in all wastewater-treated mice in comparison to the control group. The reduction rate was the highest in the mice treated with the highest concentration of industrial wastewater. Leucocytic infiltration, cardiac necrosis, and connective tissue enlargement and disruption have all been reported. The kidney showed signs of hypertrophied glomerulus, tubular dilatation, deteriorated renal tubule epithelia, cell necrosis, and leucocytic infiltration. From these findings, it can be concluded that industrial wastewater has detrimental effects on the vital organs of mice. The findings of this study identify the effects of industrial wastewater on vital organs, which could be used for the improvement of human health and animal health by increasing awareness about the harmful and fatal effects of industrial effluent.

Ethical statement

The study on mouse experimentation was performed under the recommendation and guidance of the Animal Research Ethics Committee, Faculty of Veterinary Medicine and Animal Science, Gazipur Rahman Agricultural University, Bangladesh (FVMAS/AREC/2023/12).

Collection of industrial wastewater

Industrial wastewater was collected from the Effluent Treatment Plant (ETP) of the garment industry located in Gazipur district and was stored at 4°C during the study period.

Analysis of the chemical properties of wastewater

Samples of wastewater were collected, and their chemical composition was examined. The pH, COD, and BOD levels of the products were measured. After passing wastewater samples through a Whatman No. 42 paper filter, a drop of HNO3 (65%) was added to reduce their pH to below 2 for preservation. The samples were then diluted to a predetermined volume. Following the manufacturer's instructions, the amounts of heavy metals in diluted samples were measured using an Atomic Absorption Spectrophotometer (AAS, Perkin Elmer, the PinAAcleTM 900H, USA).

Collection of experimental animals

Swiss albino male mice (Mus musculus) that were three weeks old and specific pathogen-free (SPF) were acquired from the International Centre for Diarrheal Disease Research, Bangladesh (icddr, b). To allow the mice to acclimate to their new surroundings, mice were housed for one week prior to their use in this study. Rectangular plastic cages with wire mesh coverings served as the mice's living quarters. Under natural daylight and well-ventilated conditions, the cages were maintained at 26 ± 2˚C with a relative humidity of 70–80%. Adequate hygienic conditions were provided for the mice.

Experimental design

Thirty-two mice at the age of week four were randomly divided into four groups, where each group comprises eight mice. All the mice were identified by ear coding. Normal drinking water was supplied to the mice in the control group. Mice of groups 1, 2, and 3 were supplied with normal drinking water mixed with industrial wastewater at 5%, 10%, and 20% concentrations, respectively, orally up to study week 24. Equal amounts of food and water were consumed by the mice in the experimental groups. The initial body weight of every mouse was determined by using a digital balance. Both at the beginning and the end of the trials, body weight was measured.

Sample collection

After completing study week 24 of treatment of mice with different concentrations of wastewater, mice were euthanized with a high dose of ketamine hydrochloride. During necropsy, different important organs (liver, heart, and kidney) were collected from the mice of both control and wastewater-treated groups to investigate the effect of wastewater. The vital organs were collected with the help of the sterile scalpel and scissors, avoiding any destruction of the organs. The weights of these organs were measured with the help of a digital balance.

Histological study

After measuring the weight of these organs, slices of these organs were collected and fixed in a 10% formalin solution. According to usual protocol, fixed tissue slices were prepared, paraffin-embedded, sectioned, and regularly stained with hematoxylin and eosin (H&E) stain [36 ,37]. Photomicrography was taken using a photomicrographic camera (ZEISS AxioCam ERc5s).

Data Interpretation

At the end of the study, all the data were compiled, compared, and analyzed for constructive interpretation. The statistical analysis was carried out using SPSS (IBM@ Version 21.0, USA). The Means ± S.D. were used to depict each outcome. One-way analysis of variance (ANOVA) followed by Duncan’s multiple range post-hoc test was used for the comparison. When the p-value was less than 0.05, differences were deemed statistically significant.

Data availability statement

The data that support the findings of this study are available from the corresponding author upon reasonable request.

Authors' Contributions

Md. Taimur Islam conceived the idea, designed the experiments and drafted the first version of the manuscript; Mohosina Mou, Nusrat Binte Rafique, Minhaz Ahmed and Md. Selim Jahangir Saurov performed the sample collection and laboratory experiment; Robius Sani Sadi edited the manuscript; Anup Kumar Talukder participated in the data analysis and edited the manuscript; Ziban Chandra Das and Md. Golam Haider reviewed the manuscript. All authors read and approved the final version of the manuscript.

Acknowledgements

We express our sincere gratitude to the Ministry of Science and Technology of the Government of the People's Republic of Bangladesh for providing funding for this research (163-BS/2020-2021). We are deeply grateful to the International Centre for Diarrheal Disease Research, Bangladesh (icddr’b), Head of Laboratory Animal Research Divisions for supplying the mice.

Conflict of interest

There are no declared conflicts of interest involving the authors. The content of the paper has been read and approved by each co-author, and there are no financial conflicts of interest to report. We certify that the material is wholly original with no current considerations from other publishers.

References

  1. Khaleque A, Elias MS. Industrial pollution and quality of life of workers in Bangladesh. J Human Ergol. 1995;24(1):13-23. Doi: 10.11183/jhe1972.24.13.DOI
  2. Karn SK, Harada H. Surface water pollution in three urban territories of Nepal, India, and Bangladesh. Environ Manag. 2001;28:483-96. Doi: 10.1007/S002670010238.DOI
  3. Blood DC, Radostitis OM, Handerson JA. Veterinary Medicine (a textbook of the diseases of cattle, sheep, pigs, goats and horses). Bailliere Tindall Cassell Ltd, UK. 1989.
  4. Kelly WR. The liver and biliary system. Pathology of domestic animals. 1993;2(4):319-406.
  5. Rabelo LM, Silva BC, Almeida SF, Silva WAM, Mendes BO, Guimarães ATB, et al. Memory deficit in Swiss mice exposed to tannery effluent. Neurotoxicol Teratol. 2016;55:45-49. Doi: 10.1016/j.ntt.2016.03.007.DOI
  6. Souza JM, Silva WAM, Mendes BO, Guimarães ATB, Almeida SF, Estrela DC, et al. Neurobehavioral evaluation of C57BL/6J mice submitted to tannery effluents intake. JSM Anxiety Depress. 2016;1:1006.
  7. Haley TJ. Benzidine revisited: a review of the literature and problems associated with the use of benzidine and its congeners. Clinical Toxicol. 1975;8(1):13-42. Doi: 10.3109/15563657508988044.DOI
  8. Manivasagam N. Industrial effluents origin, characteristic effects, analysis and treatment Kovaipudur, India. Shakti publication. 1987;42:1-476. Doi: 10.1007/s11356-017-0647-1.DOI
  9. Roy S, Nagarchi L, Das I, Mangalam Achuthananthan J, Krishnamurthy S. Cytotoxicity, genotoxicity, and phytotoxicity of tannery effluent discharged into Palar River Basin, Tamil Nadu, India. J Toxicol. 2015;2015(1):504360. Doi: 10.1155/2015/504360.DOI
  10. DoE. (2008). Guide for Assessment of Effluent Treatment Plants, 1st edition. Department of Environment, Ministry of Environment and Forest, Bangladesh.
  11. Islam MS, and Tanaka M. Impacts of pollution on coastal and marine ecosystems including coastal and marine fisheries and approach for management: A review and synthesis. Mar Pollut Bull. 2004;48:624-49. Doi: 10.1016/j.marpolbul.2003.12.004.DOI
  12. Mobin MN, Islam MS, Mia MY, Bakali B. Analysis of physicochemical properties of the Turag River water, Tongi, Gazipur in Bangladesh. J Environ Sci Nat Resour. 2014;7(1):27-33.
  13. Islam SM, Tusher TR, Mustafa M, Mamun SA. Investigation of soil quality and heavy metal concentrations from a waste dumping site of Konabari industrial area at Gazipur in Bangladesh. IOSR J Environ Sci Toxicol Food Technol. 2012;2(1):1-7.
  14. Rahman SH, Neelormi S, Tareq SM. Environmental impact assessments of textile and dyeing industries on ecosystem of Karnopara canal at Savar, Bangladesh. Jahangirnagar Univ J Sci. 2008;31:19-32.
  15. Ahmed T. Characterization of textile effluent from selected industries in DEPZ and their treatment by adsorption-filtration process. MS Thesis. Department of Environmental Sciences, Jahangirnagar University, Saver, Dhaka. 2007:1-32.
  16. Lokhande RS, Singare PU, Pimple DS. Toxicity study of heavy metals pollutants in waste water effluent samples collected from Taloja industrial estate of Mumbai, India. Resour Environ. 2011;1(1):13-9. Doi: 10.5923/j.re.20110101.02.DOI
  17. Hossain MB, Islam MN, Alam MS, Hossen MZ. Industrialisation scenario at Sreepur of Gazipur, Bangladesh and physico-chemical properties of wastewater discharged from industries. Asian J Environ Ecol. 2019;9(4):1-4. Doi: 10.9734/ajee/2019/v9i430103.DOI
  18. Amin T, Afrin M, Haque Z, Islam MR. Effects of textile dye waste water on reproductive system of mice and their progeny. Int J Sci Eng Res. 2016;7:565-70.
  19. Ravibabu MV, Nagaveni CH, Jamil K. Toxic effect of Industrial effluents on rat: analysis and remediation methods. The Internet J Toxicol. 2007;3(2).
  20. Missoun F, Slimani M, Aoues A. Toxic effect of lead on kidney function in rat Wistar. Afr J Biochem Res. 2010;4(2):21-7.
  21. Afsa S, Sallem OF, Abdeljelil NB, Feriani A, Najjar MF, Mansour HB. In vivo toxicities of the hospital effluent in Mahdia Tunisia. J Water Health. 2021;19(3):499-511. Doi: 10.2166/wh.2021.024.DOI
  22. Zhang Z, Ma L, Zhang XX, Li W, Zhang Y, Wu B, Yang L, Cheng S. Genomic expression profiles in liver of mice exposed to purified terephthalic acid manufacturing wastewater. J Hazard Mater. 2010;181(1-3):1121-6. Doi: 10.1016/j.jhazmat.2010.05.131.DOI
  23. Zhang Y, Huang K, Deng Y, Zhao Y, Wu B, Xu K, Ren H. Evaluation of the toxic effects of municipal wastewater effluent on mice using omic approaches. Environ Sci Technol. 2013;47(16):9470-7. Doi: 10.1021/es401615y.DOI
  24. Adeoye GO, Alimba CG, Oyeleke OB. The genotoxicity and systemic toxicity of a pharmaceutical effluent in Wistar rats may involve oxidative stress induction. Toxicol Rep. 2015;2:1265-72. Doi: 10.1016/j.toxrep.2015.09.004.DOI
  25. Sharif A, Ashraf M, Javeed A, Anjum AA, Akhtar MF, Akhtar B, Saleem A. Oxidative stress responses in Wistar rats on subacute exposure to pharmaceutical wastewater. Environ Sci Pollut Res. 2016;23:24158-65. Doi: 10.1007/s11356-016-7717-7.DOI
  26. Ercal N, Gurer-Orhan H, Aykin-Burns N. Toxic metals and oxidative stress part I: mechanisms involved in metal-induced oxidative damage. Curr Top Med Chem. 2001;1(6):529-39. Doi: 10.2174/1568026013394831.DOI
  27. Lakshmi BV, Sudhakar M, Aparna M. Protective potential of Black grapes against lead induced oxidative stress in rats. Environ Toxicol Pharmacol. 2013;35(3):361-8. Doi: 10.1016/j.etap.2013.01.008.DOI
  28. Sandhir R, Gill KD. Effect of lead on lipid peroxidation in liver of rats. Biol Trace Elem Res. 1995;48:91-7.
  29. Khan IF, Bilal AS, Shakeel KI, Malik FT. Effects of nickel toxicity on various organs of the Swiss albino mice. Uttar Pradesh J Zool. 2022;43:1-2.
  30. Pari L, Prasath A. Efficacy of caffeic acid in preventing nickel induced oxidative damage in liver of rats. Chem Biol Interact. 2008;173(2):77-83. Doi: 10.1016/j.cbi.2008.02.010.DOI
  31. Liu CM, Ma JQ, Liu SS, Feng ZJ, Wang AM. Puerarin protects mouse liver against nickelinduced oxidative stress and inflammation associated with the TLR4/p38/CREB pathway. Chem Biol Interact. 2016;243:2934. Doi: 10.1016/j.cbi.2015.11.017.DOI
  32. Das KK, Das SN, Dhundasi SA. Nickel, its adverse health effects &amp; oxidative stress. Indian J Med Res. 2008;128(4):412-25.
  33. Kumar V, Kalita J, Misra UK, Bora HK. A study of dose response and organ susceptibility of copper toxicity in a rat model. J Trace Elem Med Biol. 2015;29:269-74. Doi: 10.1016/j.jtemb.2014.06.004.DOI
  34. Ings JS, Vijayan MM, Servos MR. Tissue-specific metabolic changes in response to an acute handling disturbance in juvenile rainbow trout exposed to municipal wastewater effluent. Aquat Toxicol. 2012;108:53-9. Doi: 10.1016/j.aquatox.2011.09.009.DOI
  35. Afolabi OA, Adewoye SO, Afolabi FD, Ishola OA. Effects of palm oil mill effluent on the histology of gill, liver, kidney, heart and muscle and its heamatological effects on African cat fish, Clarias gariepinus. Arch Nephrol Urol. 2023;6(3):90-8.
  36. Gridley MF. Manual of Histologic and Special Staining Technique. McGraw-Hill Book Company, New York, USA;1960:28–9 and 82–83.
  37. Luna L. Manual of histologic staining methods of the armed forces institute of pathology. 3rd ed. McGraw-Hill Book Company, New York, USA;1968:12-20.
CAPTCHA Image