Introduction
Environmental pollutants are considered the most hazardous problems worldwide. The excessive use of agricultural fungicides is one of the principal causes of environmental pollution. Generally, fungicides are widely used in agriculture to enhance crop growth and yield by controlling fungal diseases[1]. Carbendazim (Carb: methyl-2-benzimidazole carbamate) is a highly effective benzimidazole fungicide against a wide range of fungi and is widely used throughout the world [1-3]. Meanwhile, the Carb could enter into human or animal bodies through skin absorption, as well as food or drinking water contamination [1]. Also, this substance is often transported through rain to food and water sources and seriously harms human and animal health [4,5]. Therefore, Carb is one of the most widespread environmental contaminants of major concern to human and animal health [6]. Currently, the Carb has been recognized as a testicular toxicant in male rats [3]. Also, the Carb could induce male reproductive toxicity in different model animals [1,3,7]. Carb has also been confirmed to interfere with hematopoiesis and metabolism, and induce chromosomal abnormalities by damaging DNA in various tissues [8]. Accordingly, exposure to Carb leads to testicular tissue abnormality and, consequently, impaired spermatogenesis. Consequently, these effects lead to testicular tissue disorders and reduced fertility in male rats [3,9-12]. An increase in the incidence of testicular germ cell apoptosis is a commonly reported occurrence after Carb exposure [13]. Also, according to previous studies, exposure to Carb adversely affects the testes, resulting in suppression of steroidogenesis, induction of oxidative stress, and apoptosis in rats' testes [14-15], which consequently leads to degeneration of germinal tubules and loss of spermatogenic cells.
Coenzyme CoQ10 (CoQ10), also known as ubiquinone, is a useful compound naturally found in some substances. This molecule also functions as a crucial cofactor within the electron transport chain, playing an integral role in oxidative phosphorylation and adenosine triphosphate (ATP) production within the mitochondria [16]. Furthermore, CoQ10 supplementation has been found to be advantageous in both the treatment and prevention of several health issues, including testicular dysfunctions[17]. Due to its anti-apoptosis, antioxidant, and anti-inflammatory properties [18,19]; a lot of research has been done recently on the protective effects of CoQ10 against male infertility and sperm abnormality caused by different chemical compounds. For example, the ameliorative effect of CoQ10 against the toxicity caused by bisphenol-A has been investigated in the testicles of rats. Based on this, oral treatment of animals with CoQ10 at the rate of 10 mg/kg of body weight per day for 14 consecutive days combats cellular stress, improves the testicular structure, and consequently enhances the quality and viability of sperm cells [20]. In another study, supplemental dietary CoQ10 was reported to enhance testicular functions by inhibiting lead accumulation, oxidative stress, inflammation, cell apoptosis, and restoring the adverse histological changes in rats treated with lead acetate. Therefore, this substance has been considered a natural therapeutic agent to protect against reproductive disorders associated with exposure to lead acetate [21]. However, the role of CoQ10 in Carb-caused testicular dysfunction is still unclear.
Spermatogenesis is a distinct biological process that occurs within the seminiferous tubules of the testes. Sertoli cells inside the seminiferous tubules and Leydig cells in the interstitial space of testicular tissue play an essential role in starting and maintaining sperm growth and also in regulating male hormone production [22]. The growth and function of the testis are strictly regulated by microRNAs (miRNAs), which regulate the expression of numerous protein-coding genes associated with cellular differentiation in the male reproductive system. Also, different types of male infertility, such as asthenospermia, oligospermia, azoospermia, and teratozoospermia, have been evaluated using miRNAs as molecular biomarkers [23-24]. Additionally, the processes of spermatogonial differentiation and the initiation of meiosis during spermatogenesis are subject to stringent regulation by various genes, including those that encode enzymes involved in the biogenesis of miRNAs [25]. Moreover, there is a large set of miRNAs within the male reproductive system that play vital roles in the mammalian spermatogenesis by modulating the expression of protein-coding genes involved in different cell maintenance, predominantly Sertoli cells and Leydig cells [23,26-27]. As reported, miR-202 plays a crucial role in inhibiting premature spermatogonial differentiation and the initiation of meiosis during spermatogenesis in mice, and its silencing is accompanied by the age-dependent decline of fertility [25[. However, whether and how miR-202-5p may affect the toxicity of Carb remains unclear.
Despite the information mentioned above, the current literature on the possible protective role and the mechanisms of CoQ10 supplementation against adverse reproductive effects caused by Carb is limited. Therefore, our objective was to examine the possible effect and mechanism of CoQ10 on Carb-induced testicular apoptosis, hormonal dysfunction, and the expression patterns of miR-202-5p.
Abbreviations-Cont'd
CoQ10: Coenzyme CoQ10
ATP: Adenosine triphosphate
miRNAs: microRNAs
Carb + CoQ10: Carbendazim and Coenzyme CoQ10
FSH: Follicular Stimulating Hormone
LH: Luteinizing Hormone
H&E: Hematoxylin and Eosin stain
ELISA: Enzyme-linked immunosorbent assay
IHC: Immunohistochemistry
RT-PCR: Real-time polymerase chain reaction
ROS: Reactive oxygen species
Results
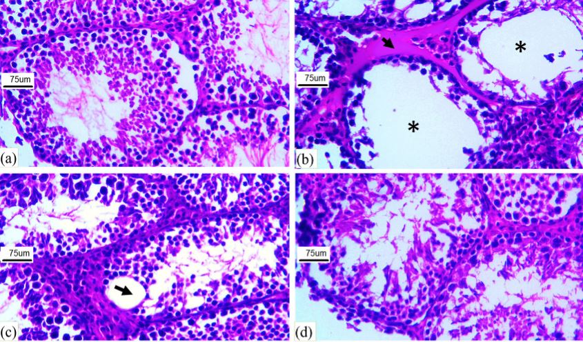
Animals of different groups did not have any macroscopic anatomical changes. Histological examinations of the control and CoQ10 groups revealed a normal histoarchitecture of the interstitial Leydig cells and seminiferous tubules, which exhibited a sequential arrangement of germ cells at various stages of differentiation, with the lumens filled with spermatozoa. In contrast, the Carb-treated group displayed irregular degenerative changes in the epithelium of the seminiferous tubules, accompanied by hyperemia of the blood vessels, interstitial edema with eosinophilic secretions, and infiltration of inflammatory cells (figure 1b ). The Carb-evoked changes in the histological aspect of the testes were partially restored by CoQ10 therapy, but there were still bubbly areas in the thickness of the seminiferous tubules that lacked germ cells (figure 1c).
Figure 1. Photomicrograph of Tissue Sections of Testicular Parenchyma in the Control and Carb-treated Groups, Stained with the Hematoxylin-Eosin Method. A, Control group: the regular morphology of the seminiferous tubules with the accumulated lumen of spermatozoa is seen. B, Damaged testicular tissue in the Carb-treated rats with de- creased cell density (stars), especially spermatozoa, detachment of germinal epithelium, and depletion of the in- terstitial tissue edema (black arrows). C, Testis structure in the Carb + CoQ10 group shows partial improvement of testicular tissue toward normal appearance, although there are still bubble-like areas in the thickness of the seminiferous tubules that lack germ cells (black arrows). D, testicular tissue in the CoQ10 group shows normal tissue architecture similar to the control group. (H&E staining, 100×, scale bar = 75 μm).
These above-mentioned findings were also confirmed by quantitative histomorphometric examination. The histomorphometric evaluation of the testes revealed a significant reduction (p < 0.05) in quantitative parameters, such as epithelial thickness, tubular diameter, and Leydig cell count within the interstitial tissue of rats administered with Carb (figure 2). In contrast, the measurements of the epithelial thickness, tubular diameter, and Leydig cell count of the Carb + CoQ10 group were found to be substantially higher than those recorded in the Carb-treated group (figure 2).
Figure 2.The Protective Ef- fect of CoQ10 on the Histomorpho- metric Criteria of Testicular Tissue Sections in the Dif- ferent Groups of Study. A, The thick- ness of the germi- Figure 3. Photomicrograph of Tissue Sections of Testicular Parenchyma in Different Studied Groups, Stained by IHC Method to Check Bcl-2 Protein Expression Level. A, Bcl-2 protein expression values in testicular tissue. B, Bcl-2 protein expression quantifica- tion chart compared to the control group. nal epithelium of the seminiferous tubules. B, the diameter of the seminiferous tubules. C, the coefficient of tubular differentiation. D, the coefficient of spermiogenesis. E, the number of Leydig cells in the interstitial tissue of the testis. Insertion of * in the top of each column means a significant difference at the p < 0.05 level, **means a significant difference at the p < 0.01 level, ***means a significant difference at the p < 0.001 level, ****means there is a signifi- cant difference at the p < 0.0001 level. ANOVA, Tukey's multiple comparisons test.
To determine whether Carb-induced abnormalities occur via the apoptosis process, the expression levels of the pro-apoptotic protein Bax, caspase-3, and the anti-apoptotic protein Bcl-2 were evaluated using immunohistochemistry techniques. Compared with the control group, Carb exposure significantly increased the immunoreactive activity of Bax and Caspase 3, as well as decreased the immunoreactivity of bcl-2 protein in tissue sections of the testis. Otherwise, the declined immunoreactive activity of Bax and caspase 3, as well as the enhanced immunoreactivity of Bcl-2, were seen in the testis sections of the Carb + CoQ10 rats, compared to the Carb group. These results mean a significant modulation in the apoptosis-related proteins when CoQ10 was combined with Carb administration (figures 3a to 5a). In this regard, the quantification assessments of immunoreactivity of Bax, Caspase 3, and Bcl-2 confirmed the histological results. Consequently, it can be inferred that CoQ10 mitigates Carb-caused testicular apoptosis by elevating the levels of pro-apoptotic proteins while concurrently reducing the levels of anti-apoptotic protein (figure 3b to 5b).
Figure 3.Photomicrograph of Tissue Sections of Testicular Parenchyma in Different Studied Groups, Stained by IHC Method to Check Bcl-2 Protein Expression Level. A, Bcl-2 protein expression values in testicular tissue. B, Bcl-2 protein expression quantifica- tion chart compared to the control group.
Figure 4.Photomicrograph of Tissue Sections of Testicular Parenchyma in Different Studied Groups, Stained by IHC Method to Check Bax Protein Expression. A, Bax protein expression values in testicular tissue. B, Bax protein expression quantification chart compared to the control group.
Figure 5.Photomicrograph of Tissue Sections of Testicular Parenchyma in Different Studied Groups, Stained by IHC Method to Check the Level of caspase 3 Protein Expression. A, Caspase 3 protein expression values in testicular tissue. B, Quantifi- cation diagram of caspase 3 protein expression compared to the control group.
figure 6 depicts how Carb and CoQ10 therapy altered testosterone and LH hormones across various groups. Specifically, the levels of testosterone and LH in the Carb-treated group were significantly reduced in comparison to the control and Carb + CoQ10 groups. By contrast, compared to the Carb alone group; co-administration of CoQ10 with Carb could modulates the serum testosterone and LH levels significantly. FSH levels did not show significant between group differences (figure 6 ).
Figure 6.The Protective Effect of CoQ10 on the Hormonal Function Criteria of the Hypothalamus-Pituitary-Testis Axis in all Groups. Values are presented as mean ± standard error of the mean (n=7). A, serum testosterone concen- tration. B, serum luteinizing hormone (LH) concentration. C, serum follicle-stimulating hormone (FSH) con- centration. Insertion of * in the top of each column means a significant difference at the p < 0.05 level, ** means a significant difference at the p < 0.01 level, *** means a significant difference at the p < 0.001 level, **** means there is a significant difference at the p < 0.0001 level. ANOVA, Tukey's multiple comparisons test.
The basal amount of miR-202-5p in the testicular tissue of different groups was assessed by the real-time PCR analysis. To check the specificity, sensitivity and confirmation of the accuracy of real-time PCR products, the standard diagram of efficiency, amplification, and drawing of the melting curve was used. The highest expression of miR-202-5p was seen in the testicular tissue in the control and CoQ10-receiving groups. However, compared with the normal control rats, the Carb-administered group expressed a low level of miR-202-5p. By contrast, the expression level of miR-202-5p was significantly upregulated in Carb + CoQ10 compared with Carb-exposed rats (figure 7 ).
Figure 7.The Real-time qPCR Results Regarding Regulatory Effect of CoQ10 on the Expression of miR-202-5p in Testicu- lar Tissues of All Groups. Insertion of * in the top of each column means a sig- nificant difference at the p < 0.05 level, ** means a sig- nificant difference at the p < 0.01 level, *** means a sig- nificant difference at the p < 0.001 level, ****means there is a significant difference at the p < 0.0001 level. ANOVA, Tukey's multiple compari- sons test.
Discussion
In the past few decades, male reproductive toxicology has attracted increasing concern because of frequent contact with chemicals due to lifestyle hypothesis and contamination of soil, drinking water sources, and agricultural products. Also, these toxicants significantly worsen sperm quality [34-35]. Carb is widely used in the control of various agricultural pathogens, and its chronic usage has hazardous impacts on the male genital system, which appears as a critical health issue [36,7,37]. Our findings indicated that Carb administration causes testicular toxicity via induction of apoptosis and downregulation of miR-202-5p. In this regard, abnormal testicular histoarchitecture induced by Carb exposure via induction of apoptosis has been reported by the previous researcher [15,37]. Conversely, treatment with CoQ10 in this study was associated with the improvement of miR-202-5p level, which coincided with the suppression of apoptosis ( ). It was demonstrated that CoQ10 has gonado-protective effects against bisophenol A-induced toxicity [38] and is regarded as a clinical agent mainly for the medical treatment of asthenospermia-caused male infertility[39]. Carb intoxication adversely led to changes in the hypothalamus-pituitary-testis axis’s functionality along with a significant increase in experimental tissue injury scores, which was significantly mitigated by CoQ10. Previous research has reported similar results, including the disruptive effect of Carb on the endocrine glands [7].
Figure 8.Representative Summary of the Protective Role of CoQ10 Against Carb-Induced Testicular Alterations in Rats
In the group treated with Carb + CoQ10, a significant improvement was observed in the histological and histomorphometric criteria of the testis compared to the Carb group. On the other hand, administration of CoQ10 in animals treated with Carb increased the immunoreactive activity of bcl-2 protein and decreased the immunoreactive activity of bax and caspase 3 proteins compared to the Carb group. These findings may imply the anti-apoptosis characteristic of CoQ10. Currently, CoQ10 has unique properties that make it potentially beneficial in a variety of testicular injury situations. First, endogenous CoQ10 is concentrated in the inner mitochondrial membrane in the middle part of sperm and regulates the bioenergetics of sperm mitochondria [40]. The development of testicular cells requires the active presence of bioenergy, and CoQ10 serves as a cofactor for the mitochondrial electron transport chain during the production of ATP. Consequently, CoQ10 is integral to cellular bioenergetics, which has facilitated its clinical use in addressing tissue-related disorders [41[. Second, in addition to its function in ATP production, CoQ10 exhibits properties as a lipophilic antioxidant, functioning as an effective scavenger of ROS and possessing anti-apoptotic effects within the testicular environment [38]. Third, CoQ10 is naturally found in semen, and its amount in the seminal fluid of men correlates with their sperm count and sperm motility[39]. Therefore, its positive effect on the structure and function of the testis can be due to its involvement in the cellular processes of the testis. In the present study, in confirmation of CoQ10-induced structural improvement of testicular histology, lower testosterone and LH levels were reversed by CoQ10 supplementation, which implies amelioration of Carb-induced spermatogenic damage. These results are supported by those of El-Khadragy et al., who demonstrated a stronger inhibition of apoptosis and testicular histopathological changes in mice co-administered with CoQ10 and lead acetate [42]. Moreover, it has been stated that adding CoQ10 and L-carnitine to semen in vitro can improve sperm motility [39]. In addition, in another study, CoQ10 could protect the testes against methotrexate-caused gonad toxicity in mice. This ameliorative effect of CoQ10 was attributed to its antioxidant and anti-apoptotic properties and modification of the Bax/Bcl2 ratio [43].
Many researchers have tried to discover the mechanisms underlying Carb's disruption of sperm production and infertility. They have found that Carb directly adversely affects testicular function by changing histone related to estrogen receptor, DNA methylation, and epigenetic pathways, causing testicular failure and infertility [7,37]. Also, a decrease in the concentration of LH hormone has been reported in animals exposed to Carb [36]. However, the mechanisms by which Carb impairs spermatogenesis are not fully understood. In the present study, in search of the underlying mechanisms, we investigated for the first time the relationship between miR-202-5p expression and Carb intoxication. We have chosen to investigate miR-202-5p further due to its significantly elevated expression levels in the testis relative to other tissues [24,44]. The results of this research determined that the relative expression of miR-202-5p in the Carb group diminished significantly compared to no treatment. Hence, it can be concluded that Carb accelerated the process of apoptosis and adverse histological changes by decreasing miR-202-5p expression in the rat testis. The high expression of miR-202-5p in somatic and testicular germ cells during men spermatogenesis has been reported, its expression is significantly higher in fertile compared to infertile men [45]. Also, miR-202-5p has been identified as one of the four testis-specific miRNAs in bull and testis of monkey in healthy conditions and hyperthermia-induced injuries [46,47]. Furthermore, there is evidence that miR-202-3p could regulate the biological functions of human Sertoli cells [48]. Accordingly, as a regulator of cell cycle in murine germ cells, miR-202 could maintain the differentiation of male stem cells by modulating RNA-binding proteins [44].
In the current study, CoQ10 modulated the level of miR-202-5p, decreased the immunoreactivity of pro-apoptotic and apoptotic proteins, and increased the levels of anti-apoptotic proteins. This led to the improvement of the quality of the tissue structure of the testis and, as a result, the efficiency of its function in spermatogenesis and hormone secretion. This implies the possible association between miR-202-5p expression, suppression of apoptosis, and improvement of histological structure and function of the testis in the case of CoQ10 administration. MiR-202 is localized in human and murine testicular Sertoli cells [45,49], and its expression mediates some of the determinant effects of SOX9 in early gonadal development and gonadal differentiation of mouse embryos [49]. In the current work, the expression level of miR-202-5p was significantly upregulated in Carb + CoQ10 compared with Carb-exposed rats. So far, no study has investigated the effect of CoQ10 on the expression of miR-202-5p in the testis. This issue highlights the novelty and innovation of the current research.
The limitation of this study was that markers related to oxidative stress were not measured. We could measure the total antioxidant capacity and levels of other free radicals in the testes to find the possible mechanism of the negative effect of Carb and the positive effect of CoQ10 on the structure and function of the testis. Another limitation was not testing the spermatozoa in the epididymis of easily euthanized animals to investigate the possible negative effect of Carb and the possible positive effect of CoQ10 on sperm morphology, number, and motility. A third limitation was not testing the testicular structure to look for specific organelles, especially mitochondria, in Carb damage and the possible protective properties of CoQ10.
In summary, we showed that 1) Carb impaired testicular histoarchitecture and consequently testosterone production by damaged Leydig cells. 2) CoQ10 improves testicular damage caused by Carb due to its gene regulation and anti-apoptotic properties. However, only enhanced miR-202-5p expression and reduced immunoreactivity of apoptotic proteins cannot solely explain the strong protective activity of CoQ10 against Carb-induced testis damage. Consequently, in subsequent studies, it is suggested that the modulation of the signaling pathways of downstream and upstream genes of miR-202-5p be considered a significant effect of this beneficial compound. The aforementioned assertion should be the primary hypothesis.
Ethical approval
All procedures in this experiment were approved by the Institutional Animal Care and Use Committee of Ilam University with Code of Ethics ID (IR.ILAM.REC.1402.017).
In order to carry out this study, 28 male Wistar rats were purchased. The rats were allocated into 4 groups consisting of control, Carb (150 mg/kg, gavage), Carb + CoQ10 (150 mg/kg + 200 mg/kg, gavage), and CoQ10. The rats received their treatments daily for 9 weeks [28-31].
At the end of the trial period, the animals were anesthetized, and histological samples were collected. The removed samples were fixed in Bouin’s solution for three days. The fixed testis underwent a trimming process followed by a 4-hour rinse with running tap water. Subsequently, the tissue samples were prepared using common microscopy methods, including dehydrating by gradually increasing concentrations of ethanol, clearing with xylene, and embedding with paraffin. Then, five micron slices were prepared using a rotary microtome, and testicular sections were subjected to H&E staining. Images were obtained and recorded using a microscope equipped with a high-resolution digital camera. A histomorphometric assessment of testicular tissues was undertaken in six different fields of each section. The quantitative parameters were luminal diameter (μm), epithelium height (μm), number of Leydig cells (number in twenty interstitial spaces), tubular differentiation coefficient (%), and spermiogenesis coefficient (%)[32-33].
The concentrations of testosterone, follicle-stimulating hormone (FSH), and luteinizing hormone (LH) in the collected serum samples were quantified utilizing rat enzyme-linked immunosorbent assay (ELISA) kits (ZellBio GmbH, Germany), employing the ELISA methodology.
Localization of pro- and anti-apoptotic biomarkers, including Bax, Bcl-2, and Caspase 3 in testicular tissue was done by immunohistochemistry (IHC) according to the manufacturer´s instructions. Antigen retrieval was performed after deparaffinization and rehydration of the testis sections, followed by washing with PBS. In the subsequent step, to inhibit endogenous peroxidase activity, the slides were immersed in a 5% bovine serum albumin (BSA) solution and incubated in 3% H2O2. Following this, anti-Bcl-2 (dilution, 1:100; Santa Cruz Biotechnology, Inc.), anti-Bax (dilution, 1:100; Santa Cruz Biotechnology, Inc.), and anti-Caspase3 (dilution, 1:100; Santa Cruz Biotechnology, Inc.) antibodies were used as the primary antibody. On the next step, Goat Anti-Rabbit IgG (dilution, 1:100) (FITC conjugated; Elabscience Biotechnology Inc.) as the secondary antibody (60 min incubation at ambient temperature). Subsequently, the tissue slices were developed utilizing diaminobenzidine and counterstained with hematoxylin. They underwent a series of processes, including dehydration, clarification, and mounting, before examination with a light microscope (KoreaTek). Following the application of Antifade Mounting Medium containing DAPI (Beyotime, China) at 4°C for a duration of 10 minutes, the positive signals were visualized using a fluorescent microscope (Olympus BX50, Japan). Image J software and Microbin Z5 camera (Media Cybernetics, Inc.) were used to take and analyze immunohistochemistry images. For each tissue section, ten representative microscopic fields were selected randomly. A semi-quantitative analysis on apoptosis-related proteins immunoreactivity score (green for FITC-conjugated antibodies) was then assigned based on the percentage of the protein-positive area compared to the normal control rats.
To examine the expression level of miR-202-5p, the quantitative real-time polymerase chain reaction (PCR) test was used. First, according to the miRcute™ miRNA Isolation (TianGene, China) extraction kit protocol, 50 mg of the tissue was lysed, and after RNA extraction and purification, its quality was measured by a nanodrop device (USA, Scientific Thermo) at a wavelength of 260/280. The miRcute miRNA First-strand cDNA Synthesis Kit (TianGen, China) was used to elongate miRNAs and synthesize cDNA by the polyadenylation system. For detection and amplify of miR-202-5p genes in the testis tissue, SYBR® Green Real Time PCR Master Mix (ParsTous, Iran) was used. Real-time qPCR was performed in 12.5-µl reactions using an Applied Biosystems 7900 HT TaqMan Real-Time PCR System. The comparative expression levels of the examined miR-202-5p were quantified utilizing the 2-ΔΔCt method. U6 snRNA was used as the endogenous control to normalize the expression levels of miRNAs. The primers used were as follows: miR-202-5p-Rat-Forward: CATATACTTCTTTGTGGAT; cDNA adapter reverse: GAACATGTCTGCGTATCTC; U6-Forward: TGCTTCGGCAGCACATATAC; U6-Reverse: AGGGGCCATGCTAATCTTCT.
The data from this research were analyzed by SPSS 23.0 (SPSS Inc., IBM, USA) using descriptive and analytical statistics. To asses the differences, a one-way ANOVA was conducted, followed by Tukey's supplementary test and complemented by the Kolmogorov-Smirnov test to evaluate the data's normality. The non-parametric Kruskal-Wallis test was used to assess the differences between groups and determine if there were statistically non-normal distributions. P < 0.05 was considered statistically significant, and p < 0.01 was considered highly statistically significant.
Authors' Contributions
SK and HS conceived the study, conducted the work, and performed statistical analysis; ALM and HAS did the experiments and wrote the manuscript. All authors read and approved the final manuscript.
Acknowledgements
The authors would like to thank Mr Nematollah Shakarami, Dr. Saleh Azizian, Dr. Salman Soltani, and Dr. Hajar Azizian for their great assistance during animal husbandry, biochemical tests and tissue slide preparations, respectively. The authors would like to thank Ilam University for financial support and library resources.
Conflict of interest
The authors declare that there is no conflict of the interest.
References
- Zhou T, Guo T, Wang Y, Wang A, Zhang M. Carbendazim: Ecological risks, toxicities, degradation pathways and potential risks to human health. Chemosphere. 2023;314:137723. Doi: 10.1016/j.chemosphere.2022.137723.DOI
- Verma S, Srivastava A. Cyto-genotoxic consequences of carbendazim treatment monitored by cytogenetical analysis using Allium root tip bioassay. Environ Monit Assess. 2018;190(4):238. Doi: 10.1007/s10661-018-6616-4.DOI
- Hashim M, Al-Attar AM, Alomar MY, Shaikh Omar AM, Alkenani NA, Abu Zeid IM. Alleviation of carbendazim toxicity effect by Moringa oleifera oil and Linum usitatissimum L. oil on testes of male rats: Physiological, histological and in silico study. Saudi J Biol Sci. 2024;31(2):103921. Doi: 10.1016/j.sjbs.2023.103921.DOI
- Owumi SE, Nowozo SO, Najophe ES. Quercetin abates induction of hepatic and renal oxidative damage, inflammation, and apoptosis in carbendazim-treated rats. Toxicol Res Appl. 2019;3:1-8.
- Ebedy YA, Elshazly MO, Hassan NH, Ibrahim MA, Hassanen EI. Novel insights into the potential mechanisms underlying carbendazim-induced hepatorenal toxicity in rats. J Biochem Mol Toxicol. 2022;36(8):e23079..DOI
- Rajeswary S, Kumaran B, Ilangovan R, Yuvaraj S, Sridhar M, Venkataraman P, Srinivasan N, Aruldhas MM. Modulation of antioxidant defense system by the environmental fungicide carbendazim in Leydig cells of rats. Reprod Toxicol. 2007;24(3-4):371-80. Doi: 10.1016/j.reprotox.2007.03.010.DOI
- Liu J, Zhang P, Zhao Y, Zhang H. Low dose carbendazim disrupts mouse spermatogenesis might be through estrogen receptor related histone and DNA methylation. Ecotoxicol Environ Saf. 2019;176:242-9. Doi: 10.1016/j.ecoenv.2019.03.103.DOI
- Sharma M., Maheshwari N., Khan F.H., Mahmood R. Carbendazim toxicity in different cell lines and mammalian tissues. J Biochem Mol Toxicol. 2022;36(12):e23194.
- Zari AT, Al-Attar MA. Therapeutic effects of olive leaves extract on rats treated with a sublethal concentration of carbendazim. Eur Rev Med Pharmacol Sci. 2011;15:413-26.
- Abolaji AO, Awogbindin IO, Adedara IA, Farombi EO. Insecticide chlorpyrifos and fungicide carbendazim, common food contaminants mixture, induce hepatic, renal, and splenic oxidative damage in female rats. Hum Exp Toxicol. 2017;36(5):483-93.
- Patil NV, Lonare MK, Sharma M, Deshmukh S, Gupta K, Sharma SK. Ameliorative effect of quercetin on neurotoxicogical alterations induced by carbendazim: oxidative stress, biochemicals, and histopathology. Proc Natl Acad Sci India Sect B: Biol Sci. 2022;2022:1-14.
- Patil SV, Mohite BV, Marathe KR, Salunkhe NS, Marathe V, Patil VS. Moringa tree, gift of nature: a review on nutritional and industrial potential. Curr Pharmacol Rep. 2022;8:262-280.
- Moffit JS, Bryant BH, Hall SJ, Boekelheide K. Dose-dependent effects of sertoli cell toxicants 2,5-hexanedione, carbendazim, and mono-(2-ethylhexyl) phthalate in adult rat testis. Toxicol Pathol. 2007;35(5):719-27. Doi: 10.1080/01926230701481931.DOI
- Adedara IA, Vaithinathan S, Jubendradass R, Mathur PP, Farombi EO. Kolaviron prevents carbendazim-induced steroidogenic dysfunction and apoptosis in testes of rats. Environ Toxicol Pharmacol. 2013;35(3):444-53. Doi: 10.1016/j.etap.2013.01.010.DOI
- Sakr SA, Shalaby SY. Carbendazim-induced testicular damage and oxidative stress in albino rats: ameliorative effect of licorice aqueous extract. Toxicol Ind Health. 2014;30(3):259-67. Doi: 10.1177/0748233712456059.DOI
- Raizner AE. Coenzyme Q10. Methodist Debakey Cardiovasc J. 2019;15(3):185-191. Doi: 10.14797/mdcj-15-3-185.DOI
- Karimi F, Khodabandeh Z, Nazari F, Dara M, Masjedi F, Momeni-Moghaddam M. Post-Weaning Exposure to Sunset Yellow FCF Induces Changes in Testicular Tight and Gap Junctions in Rats: Protective Effects of Coenzyme Q10. Reprod Sci. 2023;30(10):2962-72. Doi: 10.1007/s43032-023-01240-w.DOI
- Erol B, Bozlu M, Hanci V, Tokgoz H, Bektas S, Mungan G. Coenzyme Q10 treatment reduces lipid peroxidation, inducible and endothelial nitric oxide synthases, and germ cell-specific apoptosis in a rat model of testicular ischemia/reperfusion injury. Fertil Steril. 2010;93:280-2.
- Mirmalek SA, Gholamrezaei Boushehrinejad A, Yavari H, Kardeh B, Parsa Y, Salimi-Tabatabaee SA, Yadollah-Damavandi S, Parsa T, Shahverdi E, Jangholi E. Antioxidant and anti-inflammatory effects of coenzyme Q10 on L-arginine-induced acute pancreatitis in rat. Oxidative Med Cell Longev. 2016;2016:5818479.
- Gules Ö, Kum Ş, Yıldız M, Boyacıoğlu M, Ahmad E, Naseer Z, Eren Ü. Protective effect of coenzyme Q10 against bisphenol-A-induced toxicity in the rat testes. Toxicol Ind Health. 2019;35(7):466-481. Doi: 10.1177/0748233719862475.DOI
- El-Khadragy M, Al-Megrin WA, AlSadhan NA, Metwally DM, El-Hennamy RE, Salem FEH, Kassab RB, Abdel Moneim AE. Impact of Coenzyme Q10 Administration on Lead Acetate-Induced Testicular Damage in Rats. Oxid Med Cell Longev. 2020;2020:4981386. Doi: 10.1155/2020/4981386.DOI
- Zheng B, Zhou Q, Guo Y, Shao B, Zhou T, Wang L, Zhou Z, Sha J, Guo X, Huang X. Establishment of a proteomic profile associated with gonocyte and spermatogonial stem cell maturation and differentiation in neonatal mice. Proteomics. 2014;14(2-3):274-85. Doi: 10.1002/pmic.201300395.DOI
- Barbu MG, Thompson DC, Suciu N, Voinea SC, Cretoiu D, Predescu DV. The Roles of MicroRNAs in Male Infertility. Int J Mol Sci. 2021;22(6):2910. Doi: 10.3390/ijms22062910.DOI
- Asadpour R, Mofidi Chelan E. Using microRNAs as molecular biomarkers for the evaluation of male infertility. Andrologia. 2022;54(2):e14298. Doi: 10.1111/and.14298.DOI
- Chen J, Gao C, Lin X, Ning Y, He W, Zheng C, Zhang D, Yan L, Jiang B, Zhao Y, Alim Hossen M, Han C. The microRNA miR-202 prevents precocious spermatogonial differentiation and meiotic initiation during mouse spermatogenesis. Development. 2021;148(24):dev199799. Doi: 10.1242/dev.199799.DOI
- Fernández-Pérez D, Brieño-Enríquez MA, Isoler-Alcaraz J, Larriba E, & Del Mazo J. MicroRNA dynamics at the onset of primordial germ and somatic cell sex differentiation during mouse embryonic gonad development. RNA. 2018;24(3):287-303.
- Papaioannou MD, Nef S. microRNAs in the testis: Building up male fertility. J Androl. 2010;31(1):26-33. Doi: 10.2164/jandrol.109.008128.DOI
- Le Moal J, Rolland M, Goria S, Wagner V, De Crouy-Chanel P, Rigou A, De Mouzon J, Royère D. Semen quality trends in French regions are consistent with a global change in environmental exposure. Reproduction. 2014;147(4):567-74. Doi: 10.1530/REP-13-0499.DOI
- Mehrpour O, Karrari P, Zamani N, Tsatsakis AM, Abdollahi M. Occupational exposure to pesticides and consequences on male semen and fertility: a review. Toxicol Lett. 2014;230(2):146-56. Doi: 10.1016/j.toxlet.2014.01.029.DOI
- Yu G, Guo Q, Xie L, Liu Y, Wang X. Effects of subchronic exposure to carbendazim on spermatogenesis and fertility in male rats. Toxicol Ind Health. 2009;25(1):41-7. Doi: 10.1177/0748233709103033.DOI
- Li H, Zhang P, Zhao Y, Zhang H. Low doses of carbendazim and chlorothalonil synergized to impair mouse spermatogenesis through epigenetic pathways. Ecotoxicol Environ Saf. 2020;188:109908. Doi: 10.1016/j.ecoenv.2019.109908.DOI
- Eid RA, Abadi AM, El-Kott AF, Zaki MSA, Abd-Ella EM. The antioxidant effects of coenzyme Q10 on albino rat testicular toxicity and apoptosis triggered by bisphenol A. Environ Sci Pollut Res Int. 2023;30(14):42339-42350. Doi: 10.1007/s11356-022-24920-7.DOI
- Gou C, Zhou Z, Chen Z, Wang K, Chen C, Chen B, Pan N, He X. Studies on improving semen quality and increasing pregnancy chances through the in vitro addition of L-carnitine and coenzyme Q10 to semen in patients with asthenozoospermia. Basic Clin Androl. 2022;32(1):17.
- Alahmar AT, Sengupta P. Impact of Coenzyme Q10 and Selenium on Seminal Fluid Parameters and Antioxidant Status in Men with Idiopathic Infertility. Biol Trace Elem Res. 2021;199(4):1246-1252. Doi: 10.1007/s12011-020-02251-3.DOI
- Mancini A, Balercia G. Coenzyme Q(10) in male infertility: physiopathology and therapy. Biofactors. 2011;37(5):374-80. Doi: 10.1002/biof.164.DOI
- El-Khadragy M, Al-Megrin WA, AlSadhan NA, Metwally DM, El-Hennamy RE, Salem FEH, Kassab RB, Abdel Moneim AE. Impact of Coenzyme Q10 Administration on Lead Acetate-Induced Testicular Damage in Rats. Oxid Med Cell Longev. 2020;2020:4981386. Doi: 10.1155/2020/4981386.DOI
- Arafa EA, Hassanein EHM, Ibrahim NA, Buabeid MA, Mohamed WR. Involvement of Nrf2-PPAR-γ signaling in Coenzyme Q10 protecting effect against methotrexate-induced testicular oxidative damage. Int Immunopharmacol. 2024;129:111566. Doi: 10.1016/j.intimp.2024.111566.DOI
- Chen J, Cai T, Zheng C, Lin X, Wang G, Liao S, Wang X, Gan H, Zhang D, Hu X, Wang S, Li Z, Feng Y, Yang F, Han C. MicroRNA-202 maintains spermatogonial stem cells by inhibiting cell cycle regulators and RNA binding proteins. Nucleic Acids Res. 2017;45(7):4142-4157. Doi: 10.1093/nar/gkw1287.DOI
- Dabaja AA, Mielnik A, Robinson BD, Wosnitzer MS, Schlegel PN, Paduch DA. Possible germ cell-Sertoli cell interactions are critical for establishing appropriate expression levels for the Sertoli cell-specific MicroRNA, miR-202-5p, in human testis. Basic Clin Androl. 2015;25:2. Doi: 10.1186/s12610-015-0018-z.DOI
- Sakurai K, Mikamoto K, Shirai M, Iguchi T, Ito K, Takasaki W, Mori K. MicroRNA profiles in a monkey testicular injury model induced by testicular hyperthermia. J Appl Toxicol. 2016;36(12):1614-1621. Doi: 10.1002/jat.3326.DOI
- Mohammed BT, Donadeu FX. Localization and in silico-based functional analysis of miR-202 in bull testis. Reprod Domest Anim. 2022;57(9):1082-1087. Doi: 10.1111/rda.14159.DOI
- Yang C, Yao C, Tian R, Zhu Z, Zhao L, Li P, Chen H, Huang Y, Zhi E, Gong Y, Xue Y, Wang H, Yuan Q, He Z, Li Z. miR-202-3p Regulates Sertoli Cell Proliferation, Synthesis Function, and Apoptosis by Targeting LRP6 and Cyclin D1 of Wnt/β-Catenin Signaling. Mol Ther Nucleic Acids. 2019;14:1-19. Doi: 10.1016/j.omtn.2018.10.012.DOI
- Wainwright EN, Jorgensen JS, Kim Y, Truong V, Bagheri-Fam S, Davidson T, Svingen T, Fernandez-Valverde SL, McClelland KS, Taft RJ, Harley VR, Koopman P, Wilhelm D. SOX9 regulates microRNA miR-202-5p/3p expression during mouse testis differentiation. Biol Reprod. 2013;89(2):34. Doi: 10.1095/biolreprod.113.110155.DOI
- Garcia MS, Cavalcante DNC, Araújo Santiago MDS, de Medeiros PDC, do Nascimento CC, Fonseca GFC, Le Sueur-Maluf L, Perobelli JE. Reproductive toxicity in male juvenile rats: Antagonistic effects between isolated agrochemicals and in binary or ternary combinations. Ecotoxicol Environ Saf. 2021;209:111766. Doi: 10.1016/j.ecoenv.2020.111766.DOI
- Alghamdi SA. Effect ofNigella sativaandFoeniculum vulgareseeds extracts on male mice exposed to carbendazim. Saudi J Biol Sci. 2020;27(10):2521-2530..DOI
- Kennedy C, Okanya P, Nyariki JN, Amwayi P, Jillani N, Isaac AO. Coenzyme Q10 nullified khat-induced hepatotoxicity, nephrotoxicity and inflammation in a mouse model. Heliyon. 2020;6(9):e4917. Doi: 10.1016/j.heliyon.2020.e04917.DOI
- Carrasco J, Anglada FJ, Campos JP, Muntane J, Requena MJ, Padillo J. The protective role of coenzyme Q10 in renal injury associated with extracorporeal shockwave lithotripsy: a randomised, placebo-controlled clinical trial. BJU Int. 2014;113(6):942-950. Doi: 10.1111/bju.12485.DOI
- Bakhtiary Z, Shahrooz R, Ahmadi A, Soltanalinejad F. Protective effect of ethyl pyruvate on testicular histology and fertilization potential in cyclophosphamide treated mice. Vet Res Forum. 2020;11(1):7-13. Doi: 10.30466/vrf.2018.91253.2047.DOI
- Abd-Elkareem M, Abd El-Rahman MAM, Khalil NSA et al. Antioxidant and cytoprotective effects of Nigella sativa L. seeds on the testis of monosodium glutamate challenged rats. Sci Rep. 2021;11:13519. Doi: 10.1038/s41598-021-92977-4.DOI

Send comment about this article