Investigation of Chlamydia Abortus Infection in Aborted Fetuses Using Molecular and Pathological Studies in East Azerbaijan Province, Northwest Iran

Document Type : Research Article

Authors

1 Department of Pathobiology, Faculty of Veterinary Medicine, University of Tabriz, Tabriz, Iran & Abortion Research Group, Faculty of Veterinary Medicine, University of Tabriz, Tabriz, Iran.

2 Department of Clinical Sciences, Faculty of Veterinary Medicine, University of Tabriz, Tabriz, Iran & Abortion Research Group, Faculty of Veterinary Medicine, University of Tabriz, Tabriz, Iran.

3 Veterinary Organization, East Azerbaijan Province, Tabriz, Iran.

4 Department of Pathobiology, Faculty of Veterinary Medicine, University of Tabriz, Tabriz, Iran.

5 Department of Pathobiology, Faculty of Veterinary Medicine, University of Tabriz, Tabriz, Iran & Department of Clinical Sciences, Faculty of Veterinary Medicine, University of Tabriz, Tabriz, Iran.

Abstract

Chlamydophila is an important cause of in-utero infections in sheep and goats, resulting in abortion, stillbirth, and the birth of weak offspring. The disease in sheep caused by Chlamydia abortus (C. abortus) has been known as “ovine enzootic abortion”. Notably, it is recognized as a zoonotic disease, which can lead to abortion in humans. Therefore, the present study was carried out to recognize Chlamydia infection in aborted fetuses of domestic small ruminants, including sheep and goats in East Azerbaijan province, northwest Iran. For this purpose, a total of 62 aborted fetuses were obtained from sheep and goat flocks. At necropsy, the fetus was usually well preserved with few gross lesions. The tissue samples were collected for histopathology and molecular studies. The conventional PCR method using specific primers was performed to detect the Chlamydia genome. Additionally, the formalin-fixed tissue samples were routinely processed for histopathological studies. The genome of C. abortus was detected in 33.87% (95%CI: 0.32 ± 0.11) of the examined fetuses. Histopathological examinations presented multifocal hepatitis, pneumonia, and nonsuppurative meningoencephalitis associated with focal hemorrhage in the muscles. In conclusion, the investigation of the C. abortus genome in aborted fetuses with high prevalence rates indicates that this infection can play a notable role in the abortion of sheep and goats in East Azerbaijan. To prevent potential abortions in women who are in close contact with aborting ruminants, effective management and control measures for public health in the region are crucial. 

Keywords

Main Subjects


Introduction

Abortion is a significant problem in small ruminants, particularly in sheep and goats, and it is responsible for major economic losses in the livestock industry due to the loss of fetuses. The cause of abortion can be infectious, which is the most common or non-infectious [1]. Infectious causes can be bacterial, viral, fungal, and parasitic [2,3]. Bacterial causative agents can be a more serious issue in small ruminants such as Chlamydia abortus [4]. One of the four families that make up the order Chlamydiales is the Chlamydiaceae family. At first, the family was divided into two genera, Chlamydia and Chlamydophila, but recent genomic and phylogenetic studies have resulted in the unification of all species under the genus Chlamydia [5,6]. Besides the species currently known for the genus Chlamydia, which includes 21 species in various range hosts [7-11]. Some of these species, such as C. psittaci and C. abortus, are known to cause zoonotic infections. C. abortus is a major cause of chlamydiosis in small ruminants, which can lead to reproductive problems such as abortions, stillbirths, and infertility [12,13]. C. abortus in sheep is also known as Ovine Enzootic Abortion (OEA) or Enzootic Abortion of Ewes (EAE) [12,13].

Chlamydia is transmitted through multiple routes, including aerosol transmission, horizontal, ingestion, and fecal-oral. Fomites and environmental agents can also be important in spreading the infection. These multiple transmission pathways are involved in making this zoonotic infection more serious [14]. Oronasal route has been considered as the primary way of transmission, and it can happen from direct contact between animals or with abortion remnants. Dissemination of C. abortus to the placenta happens during pregnancy triggers inflammation and placental insufficiency, which leads to abortion or stillbirth [15]. The pathological lesions are detectable after day 90 of gestation, and the first lesion can be seen as cytoplasmic chlamydial inclusions produced in the cotyledon cells [16]. The lesions in the fetus can include primarily focal necrosis in the liver and additionally, small necrotic areas in the lungs and spleen, and less commonly in the brain and lymph nodes, and sometimes a mild form of semipurulent focal interstitial nephritis in fetal kidneys [16].

The PCR methods are frequently used for detecting chlamydia species due to their high specificity and sensitivity, quick results, and ability to handle large volumes [17]. Due to the presence of the organism in different organs, such as the abomasum and jejunum, as well as the possibility of the fetus swallowing the infected amniotic fluid, chlamydia can be diagnosed using the abomasal content of aborted fetuses [18]. This study was conducted to detect Chlamydia infection in the aborted fetuses of sheep and goat flocks in east Azerbaijan province (Iran) using the conventional PCR method due to the high prevalence of infectious abortion in the region. Also, it investigated the main histopathological changes associated with this infection to improve diagnostic accuracy.

Results

Molecular findings

The molecular study results associated with the age groups are presented inFigure 1 and Table 1. Briefly, the genome of C. abortus was detected in 21 out of 62 samples (33.87%%, 95%CI: 0.32 ± 0.11) from the examined fetuses. Of note, the higher infection rates were found in fetuses aged 4 to 5 months. However, the four age groups had no significant difference in infection rates.

Figure 1. Molecular findings of the present study for detection of the Chla- mydia genome in aborted fetuses. The PCR products with an 83 bp band were detected through electrophoresis on agarose gels stained with a safe DNA stain. L: ladder 100 bp; S1, S3, S5: the samples with negative results; S2 and S4; positive samples with an 823 bp band.

Age groups No. of the positive samples (%) 95% CI
60-90 days old(about 2-3 m)5/62 (8.06%) 0/5 (0%) 0.0±0.0
90-120 days old(about 3-4 m)14/62 (22.58%) 2/14 (14.28%) 0.1428±0.1813
120-150 days old(about 4-5 m)36/62 (58.06%) 17/36 (47.22%) 0.472±0.162
150-155 days old (Over 5 m)7/62 (11.29%) 2/7 (28.57%) 0.2857±0.3242
Total 21/62 (33.87%) 0.3387±0.114
Table1.PCR results for detection of Chlamydia abortus in the aborted fetuses (N = 62).

Pathological findings

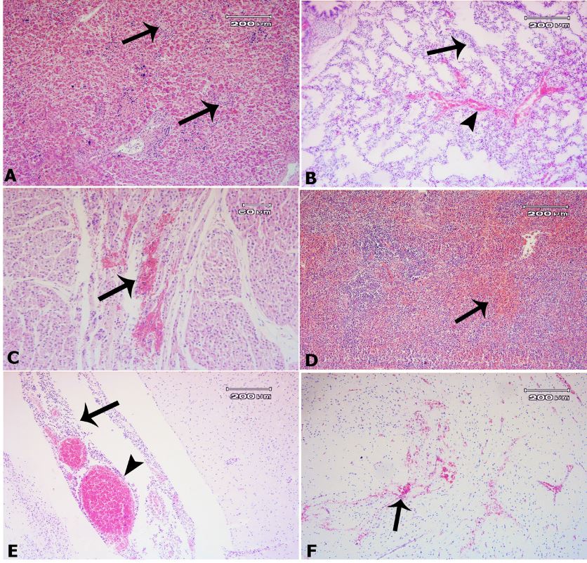
There were focal areas of cellular necrosis in the liver and spleen, which were variably surrounded by mononuclear cells. An increase in mononuclear cells was observed throughout the liver and concentrated in portal areas. In the lung, alveolar septa were thickened by mononuclear cells associated with hyperemia of the pulmonary vessels. Additionally, there were mild to moderate hemorrhages in the muscles and spleen. In the brain, mild meningoencephalitis accompanied by hyperemia and focal hemorrhage were found. (figure 2)

Figure 2. A, liver: there are focal areas of cellular ne- crosis, surrounded by mononuclear cells (arrows). B, lung: The alveolar septa are thickened by mononuclear cells, which are associated with hyperemia of the pulmo- nary vessels. C, focal hemorrhage (arrow) in the cortex of the kidney. C, muscles: there are focal hemorrhages. D, spleen: there is lymphatic depletion with moderate hemor- rhage E, brain: there are inflammatory cells in the meninges associated with notable hyperemia (arrowhead). F, brain: there is a focal hemorrhage (arrow). H&E.

Discussion

In this study, out of the 62 samples, 21 (33.87%) tested positive for Chlamydia infection using Chlamydia genus-specific primers for conventional PCR. In pathologic studies, the main lesions of Chlamydia infection were observed in the examined aborted fetuses. Due to the importance of Chlamydia in the discussion of abortion in small ruminants and also zoonotic aspects, various studies have been conducted within Iran to estimate the prevalence of this infection. Based on some studies conducted in Iran from 2015 to 2023, the prevalence of Chlamydia infection in individual animals varied between 5.71% and 56.41%. This variation was attributed to the differences in geographical areas, the detection methods used, and the types of samples taken from the animals. For example, a previous study found a seroprevalence of 25.6% using the ELISA test in individual animals across seven provinces in Iran [19]. In contrast, another study reported a higher prevalence of 56.41% in samples of aborted material from sheep and cattle in Shahr-e-Kord and Bagh-e-Malek, using Chlamydiales order-specific primers in PCR testing [20]. A recent study used cell culture for chlamydia detection, which differs from methods used in other studies. Chlamydial inclusion bodies were seen with an optical microscope in 14.28% of samples [21]. In contrast, other researchers reported a significantly lower prevalence of 5.71% as evaluated by an ELISA assay among 16 non-vaccinated goat flocks in Khuzestan province [22]. In another ELISA assay investigation, 9.7% of the samples were positively reported for sheep and goats in Khorasan Razavi province [23]. Moreover, the prevalence of Chlamydia infection in vaginal and ocular swab samples of small ruminants was 24.1% by real-time PCR [24]. Besides, the results of the nested PCR of the milk samples showed that 8.61% of milk samples were infected [25]. The seroprevalence of chlamydiosis in sera samples from sheep and goats with a history of abortion was 4.3% in sheep and 21.7% in goats, respectively, as determined by the indirect ELISA assay in Fars province [26]. Also, it was reported a prevalence of 21.6% in vaginal swab samples of sheep and goats by PCR method in Kerman province [27]. In studies in which samples were from aborted fetuses, similar variability in prevalence was reported. In this regard, evidence indicates infection rates of 0%, 11%, and 23.5% in aborted fetuses of small ruminants from southeast [28], south [29], and northwest [30] Iran, respectively, as determined by the PCR method. Studies in other countries have also reported different prevalences. In Sulaimani province, Iraq, a low prevalence of 3.33% was detected in aborted fetus samples of sheep [31]. While in north-western Italy, a higher seroprevalence was observed, with 56.6% of sheep and goat flocks testing positive for C. abortus antibodies. Sheep flocks had a higher prevalence of 71.4%, compared to 44.8% in goat flocks [32]. A study conducted in Africa found a much lower prevalence of 2% for C. abortus in small ruminants using an indirect ELISA assay [33]. This shows the correlation between prevalence and geographical differences. Emerging evidence shows that the global prevalence of C. abortus is 20.1% in sheep and 14.4% in goats, with notable regional differences. The highest prevalence has been reported in South Asia, at 30.6%, while East Asia and Oceania have the lowest rate at 14%. European countries like Romania, Hungary, and Germany reported high prevalences, ranging from 53.3% to 87%. In contrast, lower rates were found in Costa Rica, Australia, and Zimbabwe, ranging between 4.7% and 5.2% [34]. In Chlamydia infection, abortion is likely the result of several factors, including tissue destruction by Chlamydia, vasculitis, thrombosis, and a fetal inflammatory response, such as the production of TNF-α by fetal macrophages [16], In the present study, the main pathological lesions included focal necrotic hepatitis, mild interstitial pneumonia, and mild meningoencephalitis associated with focal hemorrhage in the muscles, spleen, and brain. Similar pathological findings previously described by others [16], are in agreement with our results.

Conclusion

In conclusion, the prevalence of Chlamydia infection in small ruminants shows significant variation across different regions, affected by other factors such as management practices and environmental conditions. Studies have reported prevalence rates ranging from as low as 2% in Africa to over 70% in some flocks in Italy, with significant regional differences existing globally. PCR and ELISA are common methods used for detecting infections in most studies, each with its benefits. The type of samples collected, like sera, aborted fetuses, and milk, also affects detection. Our study showed that 33.87% of the samples tested positive for Chlamydia using genus-specific primers in PCR. This significant prevalence highlights the need for more effective strategies to manage this infection and emphasizes the importance of increasing efforts toward prevention in the region for public health.

Materials and Methods

Ethical approval

All relevant international, national, and institutional guidelines for the care and use of animals, including the protocol approved by the University of Tabriz's Animal Research Ethics Committee (ID: IR.TABRIZU.REC.1403.049), were followed.

Study area

The present study was performed in seven cities in the East-Azerbaijan province in northwest Iran, including Tabriz, Charuymaq, Khoda Afrin, Jolfa, Heris, Bostan Abad, and Mianeh. This study presents findings on Chlamydia infection as part of a larger investigation into the infectious and non-infectious causes of abortion in small ruminants in East Azerbaijan province, northwest Iran. For this purpose, from November 2023 to February 2024, a total of 62 aborted fetuses were collected from sheep and goat flocks in the mentioned regions, as the owners had contacted for abortions on their farms. We studied a total of 43 sheep flocks, documenting the history of the sampled herds, which included details such as herd size and abortion rate. The sheep flocks studied were categorized by size: 7 small flocks (1–100 sheep), 19 medium flocks (101–300 sheep), and 17 large flocks (over 300 sheep).

Sampling

All samples of dead fetuses belonged to the herds with the traditional conditions. At first, the age of the aborted fetuses was estimated using the formula (X + 17) × 1/2, where X is the size of the fetus in centimeters, which were measured from forehead to tail. Then, a systematic necropsy was performed, and the pathological lesions were recorded. Next, 50 mg of the abomasal contents was placed in a 2 mL microtube and stored in a freezer at -70 °C for further molecular studies. Additionally, tissue samples from various organs, including the liver, kidneys, lungs, muscles, spleen, and brain, were collected and transferred to a 10% formalin solution for histopathology purposes.

Pathological study

The tissue samples were kept in a 10% neutral buffered formalin solution for at least 48 hours. After that, they were routinely embedded in paraffin using a DS2080/H tissue processor (Didsabz, Iran) and cut into 5 µm thick sections. These sections were stained with common hematoxylin and eosin (H&E) and studied under a light microscope (Olympus, CH-30, Japan), with the observed lesions recorded.

Molecular studies (DNA extraction and PCR assay)

The genomic DNA (gDNA) of the abomasal contents was extracted using a DNA extraction kit® (Pishgam Sanjesh, Tehran, Iran) based on the manufacturer’s instructions. The genome’s quality and quantity were analyzed using NanoPhotometer® NP80 (IMPLEN, Germany). All PCR assays were performed in a final volume of 25 μL with Taq DNA Polymerase Master Mix RED® (Ampliqon, Denmark) and 3 μL DNA/cDNA, using the T100 Thermal Cycler (Bio-Rad, USA). The amplified products were detected through electrophoresis on 1.5% agarose gels stained with a safe DNA stain (SinaClon, Iran). To perform a PCR test, specific primers for Chlamydia abortus were used: CHLAMA1 (Forward: 5’-CTCACCATTGTCTCAGGTGGA- 3’) and CHLAMA2 (Reverse: 5’-ACCGTAATGGGTAGGAGGGGT-3’), targeting an 823 base pair (bp) sequence. Moreover, C. abortus ATCC VR656 was used as the positive control. The reaction conditions included 35 cycles and an annealing temperature of 59°C.

Statistical analyses

The Chi-Square test was used to determine the correlations between infections and age groups (four groups, including 2-3, 3-4, 4-5, and over 5 months old) of the fetuses. Differences were considered significant at p < 0.05. The analyses were performed with IBM SPSS Statistics v.22 software. Also, the data was assessed using a 95% confidence interval (CI).

Authors' Contributions

Conceptualization: MKh, HS, JSh; Methodology: MKh, HS, JSh, SB, FJA, KN, FM, and AH; Software: MKh, FJA, FM; Writing/preparation of original draft: MKh, HS, FJA, FM; Writing, review and editing: MKh, HS, JSH, SB, FJA, FM, KN, and AH; Supervision, project administration and funding acquisition: MKh; All authors have read and approved the final version of the manuscript.

Acknowledgements

The authors express their gratitude to Dr. J. Vatankhah, Dr. Tahmasebnejad, and A. R. Hakimnejad for collecting the samples. This work was supported by the University of Tabriz, Tabriz, Iran, and also the Veterinary Organization, East Azerbaijan Province, Tabriz, Iran.

Conflict of interest

The authors declare that there is no conflict of the interest.

References

  1. Holler LD. Ruminant abortion diagnostics. Veterinary Clinics of North America-Food Animal Practice. 2012;28(3):407. Doi: 10.1016/j.cvfa.2012.07.007.DOI
  2. Pal M. Growing role of fungi in mycotic abortion of domestic animal. Journal of Bacteriology and Mycology. 2015;2(1):1009.
  3. Haif A, Khelifi-Ouchene NA, Khelifi M, Ouchetati I, Zeroual F, Ouchene N. Abortive diseases and their various associated risk factors in small ruminants in Algeria: a systematic review. Tropical Animal Health and Production. 2021;53(6):520. Doi: 10.1007/s11250-021-02926-6.DOI
  4. Schnydrig P, Vidal S, Brodard I, Frey C, Posthaus H, Perreten V, et al. Bacterial, fungal, parasitological and pathological analyses of abortions in small ruminants from 2012–2016. Schweizer Archiv fur Tierheilkunde. 2017;159:647-56. Doi: 10.17236/sat00136.DOI
  5. Sachse K, Bavoil PM, Kaltenboeck B, Stephens RS, Kuo C-C, Rosselló-Móra R, et al. Emendation of the family Chlamydiaceae: proposal of a single genus, Chlamydia, to include all currently recognized species. Systematic and Applied Microbiology. 2015;38(2):99-103. Doi: 10.1016/j.syapm.2014.12.004.DOI
  6. Vorimore F, Hölzer M, Liebler-Tenorio E, Barf L-M, Delannoy S, Vittecoq M, et al. Evidence for the existence of a new genus Chlamydiifrater gen. nov. inside the family Chlamydiaceae with two new species isolated from flamingo (Phoenicopterus roseus): Chlamydiifrater phoenicopteri sp. nov. and Chlamydiifrater volucris sp. nov. Systematic and Applied Microbiology. 2021;44(4):126200. Doi: 10.1016/j.syapm.2021.126200.DOI
  7. Laroucau K, Vorimore F, Aaziz R, Solmonson L, Hsia R, Bavoil P, et al. Chlamydia buteonis, a new Chlamydia species isolated from a red-shouldered hawk. Systematic and Applied Microbiology. 2019;42(5):125997. Doi: 10.1016/j.syapm.2019.06.002.DOI
  8. Chaiwattanarungruengpaisan S, Thongdee M, Anuntakarun S, Payungporn S, Arya N, Punchukrang A, et al. A new species of Chlamydia isolated from Siamese crocodiles (Crocodylus siamensis). PLoS One. 2021;16(5):e0252081. Doi: 10.1371/journal.pone.0252081.DOI
  9. Laroucau K, Ortega N, Vorimore F, Aaziz R, Mitura A, Szymanska-Czerwinska M, et al. Detection of a novel Chlamydia species in captive spur-thighed tortoises (Testudo graeca) in southeastern Spain and proposal of Candidatus Chlamydia testudinis. Systematic and Applied Microbiology. 2020;43(2):126071. Doi: 10.1016/j.syapm.2020.126071.DOI
  10. Mitura A, Niemczuk K, Zaręba K, Zając M, Laroucau K, Szymańska-Czerwińska M. Free-living and captive turtles and tortoises as carriers of new Chlamydia spp. PLoS One. 2017;12(9):e0185407. Doi: 10.1371/journal.pone.0185407.DOI
  11. Bellinati L, Pesaro S, Marcer F, Danesi P, Natale A, Ceglie L. Detection of a novel chlamydia species in invasive turtles. Animals. 2022;12(6):784. Doi: 10.3390/ani12060784.DOI
  12. Merdja SE, Khaled H, Aaziz R, Vorimore F, Bertin C, Dahmani A, et al. Detection and genotyping of Chlamydia species responsible for reproductive disorders in Algerian small ruminants. Tropical Animal Health and Production. 2015;47:437-43. Doi: 10.1007/s11250-014-0743-x.DOI
  13. Rodolakis A, Laroucau K. Chlamydiaceae and chlamydial infections in sheep or goats. Veterinary Microbiology. 2015;181(1-2):107-18. Doi: 10.1016/j.vetmic.2015.07.010.DOI
  14. Nietfeld JC. Chlamydial infections in small ruminants. Veterinary Clinics of North America: Food Animal Practice. 2001;17(2):301-14. Doi: 10.1016/s0749-0720(15)30030-x.DOI
  15. Borel N, Sachse K. Zoonotic transmission of Chlamydia spp.: known for 140 years, but still underestimated. Zoonoses: Infections Affecting Humans and Animals. 2023;1-28. Doi:10.1007/978-3-030-85877-3_53-1.DOI
  16. Buxton D, Barlow R, Finlayson J, Anderson I, Mackellar A. Observations on the pathogenesis of Chlamydia psittaci infection of pregnant sheep. Journal of Comparative Pathology. 1990;102(2):222-37.
  17. Pantchev A, Sting R, Bauerfeind R, Tyczka J, Sachse K. Detection of all Chlamydophila and Chlamydia spp. of veterinary interest using species-specific real-time PCR assays. Comparative Immunology, Microbiology and Infectious Diseases. 2010;33(6):473-84. Doi: 10.1016/j.cimid.2009.08.002.DOI
  18. Menzies PI. Abortion in sheep: diagnosis and control. Current Therapy In Large Animal Theriogenology: Elsevier; 2007. p. 667-80. Doi:10.1016/B978-072169323-1.50093-3.DOI
  19. Esmaeili H, Bolourchi M, Mokhber-Dezfouli MR. Seroprevalence of Chlamydia abortus infection in sheep and goats in Iran. Iranian Journal of Veterinary Medicine. 2015;9(2):73-77.
  20. Barati S, Moori-Bakhtiari N, Najafabadi MG, Momtaz H, Shokuhizadeh L. The role of zoonotic chlamydial agents in ruminants abortion. Iranian Journal of Microbiology. 2017;9(5):288.
  21. Esmaeili H, Hamedi M, Madani S. Isolation of Chlamydia spp. from Ewes and Does in Iran. Archives of Razi Institute. 2017;72(4):249-53. Doi: 10.22092/ari.2017.113297.DOI
  22. Borujeni MP, Bakhtiari NM, Hajikolaei M, Mousavi M. Chlamydia abortus infection in goats in the southwest of Iran. Revue de Médecine Vétérinaire. 2019;170:9-14.
  23. Iraninezhad Z, Azizzadeh M, Taghavi Razavizadeh A, Mehrzad J, Rashtibaf M. Seroepidemiological feature of Chlamydia abortus in sheep and goat population located in northeastern Iran. Veterinary Research Forum. 2020;11(4):423-426. Doi: 10.30466/vrf.2019.101946.2429.DOI
  24. Esmaeili H, Bolourchi M, Mokhber-Dezfouli MR, Teimourpour A. Detection of Chlamydia abortus and risk factors for infection in small ruminants in Iran. Small Ruminant Research. 2021;197:106339. Doi: 10.1016/j.smallrumres.2021.106339.DOI
  25. Taheri F, Ownagh A, Mardani K. Molecular identification and phylogenetic analysis of Chlamydophila abortus isolated from sheep and goats. Iranian Journal of Veterinary Science and Technology. 2021;13(1):55-63. Doi: 10.22067/ijvst.2021.68614.1016.DOI
  26. Abnaroodheleh F, Emadi A, Dadar M. Seroprevalence of brucellosis and chlamydiosis in sheep and goats with history of abortion in Iran. Small Ruminant Research. 2021;202:106459. Doi: 10.1016/j.smallrumres.2021.106459.DOI
  27. Afrisham S, Golchin M, Mohammadi E, Eskandarzadeh N, Shamshirgaran MA. Prevalence of Chlamydia abortus infection in aborted sheep and goats in Kerman province, southeast of Iran. Iranian Journal of Veterinary Science and Technology. 2023;15(3):42-7. Doi: 10.22067/ijvst.2023.82794.1263.DOI
  28. Hosein Abadi E, Saadati D, Najimi M, Hassanpour M. A Study on Mycoplasma agalactiae and chlamydophila abortus in aborted ovine fetuses in Sistan and Baluchestan region, Iran. Archives of Razi Institute. 2019;74(3):295-301. Doi: 10.22092/ari.2018.120393.1193.DOI
  29. Heidari S, Derakhshandeh A, Firouzi R, Ansari-Lari M, Masoudian M, Eraghi V. Molecular detection of Chlamydophila abortus, Coxiella burnetii, and Mycoplasma agalactiae in small ruminants’ aborted fetuses in southern Iran. Tropical Animal Health and Production. 2018;50:779-85. Doi: 10.1007/s11250-017-1494-2.DOI
  30. Hamedi M, Esmaeili H, Madani SA, Tajik P. The Frequency of Abortion Caused by Chlamydia abortus in Aborted Fetuses of Sheep and Goats in Iran. Journal of Medical Bacteriology. 2020;9(1-2):1-8.
  31. Arif ED, Saeed NM, Rachid SK. Isolation and Identification of from Aborted Ewes in Sulaimani Province, Northern Iraq. Polish journal of microbiology. 2020;69(1):65-71. Doi: 10.33073/pjm-2020-009.DOI
  32. Nogarol C, Marchino M, Scala S, Belvedere M, Renna G, Vitale N, et al. Seroprevalence and Risk Factors Associated with Chlamydia abortus Infection in Sheep and Goats in North-Western Italy. Animals. 2024;14(2):291. Doi: 10.3390/ani14020291.DOI
  33. Tarusikirwa DF, Blacklaws B, Trotter CL. Seroprevalence and assessment of public awareness of Brucella spp., Toxoplasma gondii and Chlamydia abortus in small ruminants from selected smallholder commercial farms of Zimbabwe. Plos one. 2023;18(6):e0287902. Doi: 10.1371/journal.pone.0287902.DOI
  34. Castro-Flores R, Gaxiola SM, Diaz-Aparicio E, Rodriguez-Gaxiola MA, Montero A, Enriquez-Verdugo I, et al. Global, Regional, and National Prevalence of Chlamydiosis in Small Ruminants: Systematic Review and Meta-Analysis. 2024. Doi: 10.20944/preprints202402.1479.v1.DOI
CAPTCHA Image